Wichtiger Sicherheitshinweis:
Pathorama wurde zwischen dem
26. und 27. Dezember 2025
angegriffen. Falls Sie die Website in diesem Zeitraum besucht haben, lesen Sie bitte die wichtigen Informationen hier:
Zur Information
Pathopic
HiPaKu
ZyPaKu
Projektinfos
PathoPic - Projekt- und Copyright-Info
About
Pathopic
HiPaKu
ZyPaKu
PathoPic – image database
/
PathoPic ID 5215 - Gravidität: Myometrium
de
Diagnose
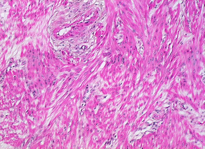
Gravidität: Myometrium
Diagnose Gruppe
Normalbefund
Topographie
Plazenta
Topographie Gruppe
Paidopathologie
Beschreibung
Hyperplastisches Myometrium mit grossen Myozyten und aufgelockertem Interstitium.
Klinik
11. Schwangerschaftswoche. Normale Schwangerschaft
Bilder Typ
Histologie
Vergrösserung
100
Alter
0.212
Geschlecht
unbekannt
Datum
Ersteintrag: 23.07.2002
CPS
·
©
2025 Institut für Pathologie Basel
/
Dr. med. Katharina Glatz-Krieger
.
·
v2.2