Wichtiger Sicherheitshinweis: Pathorama wurde zwischen dem 26. und 27. Dezember 2025 angegriffen. Falls Sie die Website in diesem Zeitraum besucht haben, lesen Sie bitte die wichtigen Informationen hier:
Zur Information

AP/ Aktive Myokarditis

Diagnose
Aktive Myokarditis
Diagnose Gruppe
Therapiefolgen
Differenzialdiagnose
Topographie Gruppe
Kardiovaskuläres System
Topographie
Herz links
Einleitung
Definition:
Die Myokarditis gehört zu den primären erworbenen Kardiomyopathien (entzündliche Kardiomyopathie gemäss American Heart Association 2006). Die akute Myokarditis ist morphologisch definiert als Schädigung kardialer Myozyten durch Entzündungszellen (> 3110), die klinisch mit einer kardialen Dysfunktion einhergeht. Die Myokardnekrosen führen in der Folge oft zu einer dilatativen Kardiomyopathie.

Aetiologie:
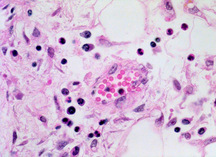
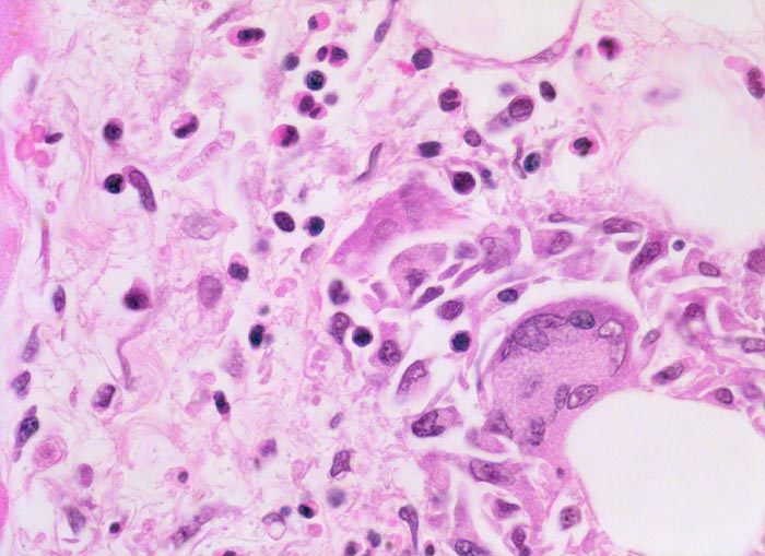
Man unterscheidet infektiöse und nicht infektiöse Ursachen. Am häufigsten ist die Assoziation mit einem viralen Infekt (primär kardiotrope Enteroviren vor allem Coxsackievirus B oder nicht kardiotrope Viren im Rahmen einer allgemeinen Virusinfektion). Bakterien, Pilze, Protozoen, Helminthen, Chemikalien, Umweltgifte (Blei, Arsen, Kohlenmonoxid), Bestrahlung und verschiedene Systemerkrankungen (SLE, Riesenzellarteriitis) können ebenfalls eine Myokarditis verursachen. Die Hypersensitivitätsmyokarditis wird in Zusammenhang mit einer Überempfindlichkeitsreaktion auf verschiedene Medikamente beobachtet (Penicillin, Ampicillin, Hydrochlorothiazid, Methyldopa, Sulfonamide…). Typisch ist ein gemischtes Entzündungsinfiltrat aus Lymphozyten, Plasmazellen, Makrophagen und auffallend vielen eosinophilen Granulozyten. Zahlreiche Medikamente verüben wahrscheinlich einen direkten dosisabhängigen toxischen Effekt auf das Myokard (Lithium, Doxorubicin, Kokain, Catecholamine, Acetaminophen, Anthrazyklin, Zidovudin…). Die Riesenzellmyokarditis ist eine seltene idiopathische Erkrankung, charakterisiert durch eine massive Destruktion der Herzmuskelzellen durch mehrkernige Riesenzellen in Begleitung von Lymphozyten, Plasmazellen und eosinophilen Granulozyten (> 9757) (> 9756). Weitere nicht infektiöse Formen der Myokarditis sind die hypereosinophile Myokarditis, die rheumatische Myokarditis im Rahmen eines rheumatischen Fiebers und die granulomatöse Myokarditis bei Sarkoidose (> 10020).

Morphologie:
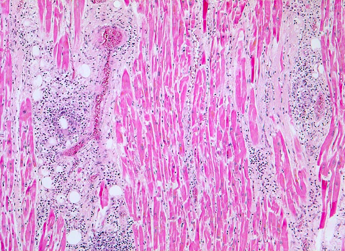
Bei etwa 30 bis 50% der Patienten mit vermuteter Myokarditis lassen sich bioptisch Veränderungen nachweisen. Wegen der herdförmigen Verteilung der Entzündung können beim Biopsieren Trefferfehler auftreten. Histopathologisch lassen sich in der ersten Biopsie eine akute (=aktive) und eine chronische Myokarditis unterscheiden. Bei beiden findet sich ein diffuses, fokales oder konfluierendes Entzündungsinfiltrat quantifiziert durch Immunhistochemie (>14 Lymphozyten und Makrophagen/mm2) und eine Fibrose. Bei der aktiven Myokarditis sind zusätzlich obligat Nekrosen oder eine Degeneration von Herzmuskelzellen nachweisbar.
Klinik
Vorkommen:
Die Myokarditis ist eine seltene Erkrankung, die klinisch selten diagnostiziert wird. Inzidenzangaben schwanken zwischen 1-10:100’000/J. Das Durchschnittsalter von Patienten mit Myokarditis beträgt 42 Jahre. Männer sind häufiger betroffen (m:w=1.5:1).

Symptomatik:
Symptome einer akuten Herzinsuffizienz bei einem jüngeren Patienten ohne vorbestehende kardiale Risikofaktoren muss an eine Myokarditis denken lassen. Die Symptomatik ist unterschiedlich schwer und hängt ab von der Ätiologie. Subklinische Verläufe sind häufig. Eine fulminante Herzinsuffizienz oder ein plötzlicher Herztod können aber vorkommen. Neben Zeichen der Herzinsuffizienz können Brustschmerzen (Perikarditis), Fieber und Herzrhythmusstörungen auftreten. Die Myokardnekrosen führen in der Folge oft zu einer dilatativen Kardiomyopathie.
Die Hypersensitivitätsmyokarditis ist assoziiert mit einer peripheren Eosinophilie, Herzrhythmusstörungen, Tachykardie, Fieber und Exanthem, oft ist sie jedoch asymptomatisch. Die idiopathische Riesenzellmyokarditis, deren Ursache unbekannt ist, verläuft oft letal.

Diagnostik:
Im akuten Stadium einer Myokarditis sind häufige Echokardiographien angezeigt. Synkopen können die Entwicklung eines AV Blocks signalisieren. Ein vorausgegangener Virusinfekt meist etwa zwei Wochen vor Auftreten der Myokarditis lässt sich gelegentlich serologisch dokumentieren ( Entero-, Influenza-, Adeno-, Epstein-Barr-, Herpes-Viren (> 3107)). Serologische Untersuchungen sind aber unergiebig und sollten sich auf Erreger mit therapeutischen Konsequenzen beschränken (HIV, HCV, CMV, Borrelien). Die Diagnose wird oft klinisch gestellt. Beweisend ist aber lediglich die positive Myokardbiopsie. Biopsien sind bei schweren protrahierten Myokarditiden indiziert. Mit der Entwicklung molekularbiologischer Methoden ergab sich die Möglichkeit, Erreger mittels in situ Hybridisierung oder PCR direkt im Biopsiematerial nachzuweisen. Auch wenn sich letztlich die Mehrzahl der Patienten mit einer Myokarditis spontan und meist ohne Residuen wieder erholt, sollten behandelbare Ursachen möglichst frühzeitig diagnostiziert werden. Dazu gehören beispielsweise bakterielle Infektionen durch Streptokokken und Staphylokokken, aber auch seltenere Infektionen wie Brucellose, Rickettsiosen Borreliose oder Diphtherie. Parasiten und Pilze sind in unseren Breiten als Myokarditis-Erreger fast ausschließlich bei immundefizienten Patienten von Bedeutung. Meist handelt es sich in diesen Fällen um generalisierte Infektionen z. B. durch Toxoplasma gondii, Aspergillen oder Kryptokokken mit septischen Streuherden im Myokard (vrgl. Präparat septikopyämische Myokarditis).

Therapie:
Das Absetzen eines verursachenden Medikamentes oder die Therapie spezieller Erreger stellen die einzigen kausalen Therapiemöglichkeiten dar. Die Riesenzellmyokarditis wird mit hochdosierten Immunsuppressiva oder Herztransplantation therapiert. Ansonsten gilt es Arrhythmien, Thromboembolien, Herzinsuffizienz und kardiogenen Schock symptomatisch zu behandeln.
Morphologie
  • Teils fleckförmiges, teils diffuses gemischtes Entzündungsinfiltrat aus Lymphozyten, Plasmazellen, Makrophagen und zahlreichen eosinophilen Granulozyten.
  • Einzelne Herzmuskelzellen werden durch das Entzündungsinfiltrat zerstört und sind hypereosinophil (Myozytolyse).
  • Interstitielles Ödem (Auflockerung des Gewebes).
  • Fleckförmige Fibrose.
Das sollte der Kliniker dem Pathologen mitteilen:
  • Erregernachweis.
  • Medikamente.
  • Kollagenose.
  • Sarkoidose.
Praxis-Tipp:
  • Aufgrund der häufigen fokalen Verteilung der Entzündungsherde sollten zur Steigerung der Sensitivität mindestens 4-5 rechtsventrikuläre Endomyokardbiopsien entnommen werden.
  • Eine negative Biopsie schliesst eine Myokarditis nicht aus (Biopsien in bis zu 55% der Fälle falsch negativ).
  • Die Sensitivität des Virusnachweises mittels (RT-)PCR ist höher am gefrorenen Nativmaterial.
  • Myokarditiden werden wegen häufigem subklinischem Verlauf nicht selten als autoptische Zufallsbefunde diagnostiziert.
Makroskopie
Befund
Pathologischer Befund
Normalbefund
Datum
Ersteintrag: 17.11.2018
Update: 17.11.2018