Wichtiger Sicherheitshinweis: Pathorama wurde zwischen dem 26. und 27. Dezember 2025 angegriffen. Falls Sie die Website in diesem Zeitraum besucht haben, lesen Sie bitte die wichtigen Informationen hier:
Zur Information

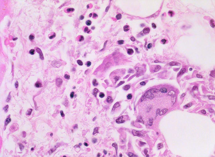
PathoPic – image database / PathoPic ID 4565 - interstitielle Myokarditis

de
Diagnose
interstitielle Myokarditis
Diagnose Gruppe
Therapiefolgen
Topographie
Herz links
Topographie Gruppe
Kardiovaskuläres System
Beschreibung
Ödematöses Intersitium mit lockerem Infiltrat bestehend aus Lymphozyten, zahlreichen Histiozyten und Granulozyten. Mehrere Riesenzellen umgeben von Histiozyten.
Klinik
Patientin plötzlich tot im Bett aufgefunden nach mehreren Osteosynthesen. Vorgängig Zeichen einer hyperergischen Reaktion mit Urticaria und Bluteosinophilie.
Bilder Typ
Histologie
Vergrösserung
400
Alter
77
Geschlecht
unbekannt
Datum
Ersteintrag: 13.07.2002