Wichtiger Sicherheitshinweis: Pathorama wurde zwischen dem 26. und 27. Dezember 2025 angegriffen. Falls Sie die Website in diesem Zeitraum besucht haben, lesen Sie bitte die wichtigen Informationen hier:
Zur Information

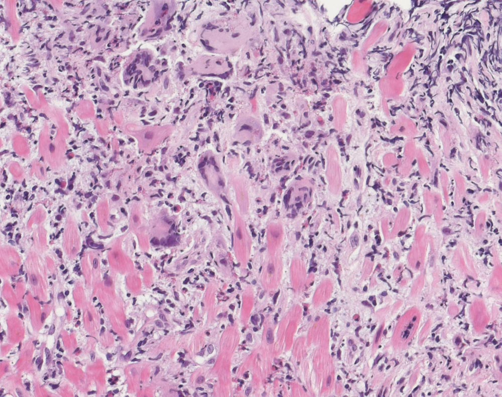
PathoPic – image database / PathoPic ID 9756 - Floride Riesenzellmyokarditis

de
Diagnose
Floride Riesenzellmyokarditis
Diagnose Gruppe
organspezifische Erkrankung
Topographie
Herz rechts
Topographie Gruppe
Kardiovaskuläres System
Beschreibung
Innerhalb des Myokards findet man massenhaft Infiltrate von Lymphozyten, Histiozyten sowie zahlreichen eosinophilen Leukozyten. Dazwischen sind immer wieder einzelne Riesenzellen eingestreut, die teils myogenen Riesenzellen, teils Histiozyten entsprechen. Die Herzmuskulatur ist im Bereich der Infiltrate landkartenförmig zerstört. Die erhaltene Herzmuskulatur zeigt keine Auffälligkeiten.
Zusatzbefund
Ausschluss einer Infektion mit kardiotropen Erregern in den durchgeführten in situ Hybridisierungen und den nested PCR-Untersuchungen, insbesondere kein Nachweis von EV, PV- B19, HHV-6, EBV, ADV oder HCMV. Massives myokardiales Entzündungsinfiltrat zu 70% aus T-Zellen, zu 20% aus B-Zellen und zu 10% aus Monozyten/Makrophagen bestehend. Massive Hochregulation von HLA-DR im Endothel. Lichtmikroskopisch auch eosinophile Leukozyten nachgewiesen. Die lichtmikroskopisch beschriebenen Riesenzellen sind zum Teil schwach positiv für CD68 (d.h. zum Teil histiozytären Ursprungs).
Klinik
Repetive Reanimationen und progrediente Verschlechterung der Ejektionsfraktion. Myokarditis unklarer Ätiologie
Bilder Typ
Histologie
Vergrösserung
200
Alter
52
Geschlecht
unbekannt
Datum
Ersteintrag: 09.08.2007
Update: 13.02.2008