Wichtiger Sicherheitshinweis: Pathorama wurde zwischen dem 26. und 27. Dezember 2025 angegriffen. Falls Sie die Website in diesem Zeitraum besucht haben, lesen Sie bitte die wichtigen Informationen hier:
Zur Information

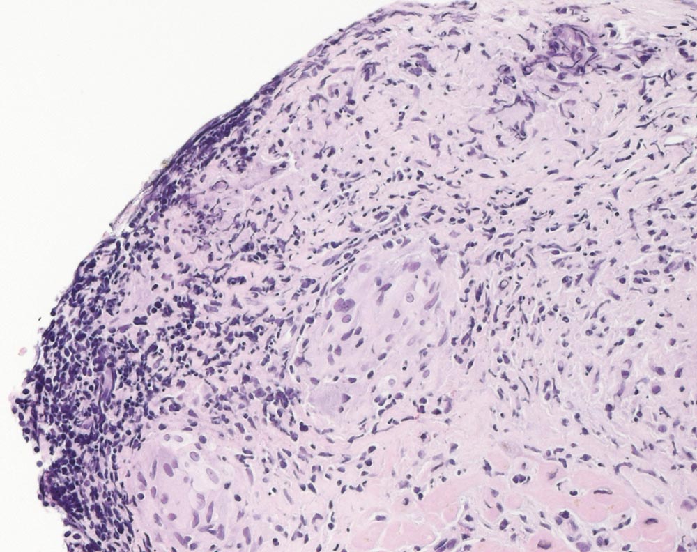
PathoPic – image database / PathoPic ID 10020 - Sarkoidose des Myokards

de
Diagnose
Sarkoidose des Myokards
Diagnose Gruppe
Systemerkrankung/Immunpathologie
Topographie
Herz rechts
Topographie Gruppe
Kardiovaskuläres System
Beschreibung
Endokardiale fibrosierte epitheloidzellige Granulome.
Klinik
AV-Block. Late enhancement in der MRI Untersuchung septal. Keine extrakardiale Sarkoidosemanifestationen. DD Sarkoidose, Myokarditis, andere chronisch entzündliche Erkrankung des Myokards.
Bilder Typ
Histologie
Vergrösserung
200
Alter
40
Geschlecht
unbekannt
Datum
Ersteintrag: 18.11.2008
Update: 07.05.2009