Wichtiger Sicherheitshinweis: Pathorama wurde zwischen dem 26. und 27. Dezember 2025 angegriffen. Falls Sie die Website in diesem Zeitraum besucht haben, lesen Sie bitte die wichtigen Informationen hier:
Zur Information

ETHZ allg/ Lymphangiosis carcinomatosa

Diagnose
Lymphangiosis carcinomatosa
Diagnose Gruppe
maligner Tumor
Differenzialdiagnose
Topographie Gruppe
Lunge, Mediastinum mit Thymus
Topographie
Lunge
Einleitung
Morphologie:
Das metastatische Wachstumsmuster von primären Bronchuskarzinomen und extrapulmonalen Tumoren innerhalb der Lunge ist variabel. Hämatogene Metastasen imponieren makroskopisch als multiple scharf begrenzte rundliche Knoten in allen Lappen meist in peripherer Lage. Der metastatische Befall von Lymphknoten kann durch direkte Tumorinfiltration durch den Primärtumor erfolgen (=per continuitatem) oder über die Lymphgefässe. Bei einer ausgeprägten lymphogenen Tumorausbreitung erscheinen subpleurale mit Tumor gefüllte Lymphgefässe makroskopisch als prominente weisse Streifen. Mikroskopisch lassen sich Tumorinfiltrate in peribronchialen und perivaskulären Lymphgefässen nachweisen (=Lymphangiosis carcinomatosa). Hepatozelluläre Karzinome metastasieren typischerweise in Form von Tumorembolien (> 1279) hämatogen in die Lunge.

Nomenklatur:
In Abhängigkeit vom histogenetischen Subtyp des Primärtumors wird die lymphogene Ausbreitung unterschiedlich bezeichnet.
  • Karzinom: Lymphangiosis carcinomatosa
  • Sarkom: Lymphangiosis sarcomatosa
  • Leukämie/Lymphom: Lymphangiosis blastomatosa
  • Melanom: Lymphangiosis melanomatosa.
update 7. September 2011
Klinik
Diagnostik:
Im Thoraxröntgenbild kann die Lymphangiosis carcinomatosa häufig nicht vom interstitiellen Lungenödem unterschieden werden. Die Ausbreitung der Tumorinfiltrate ist aber in der Regel nicht so symmetrisch und gleichmässig wie beim interstitiellen Lungenödem. Weitere Differentialdiagnosen: Sarkoidose, Silikose, exogen allergische Alveolitis, fibrosierende Alveolitis, Lymphom oder Kaposi Sarkom.
Morphologie
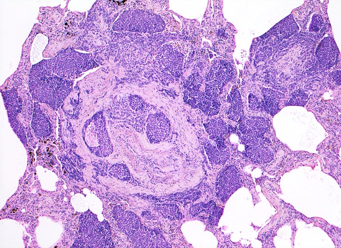
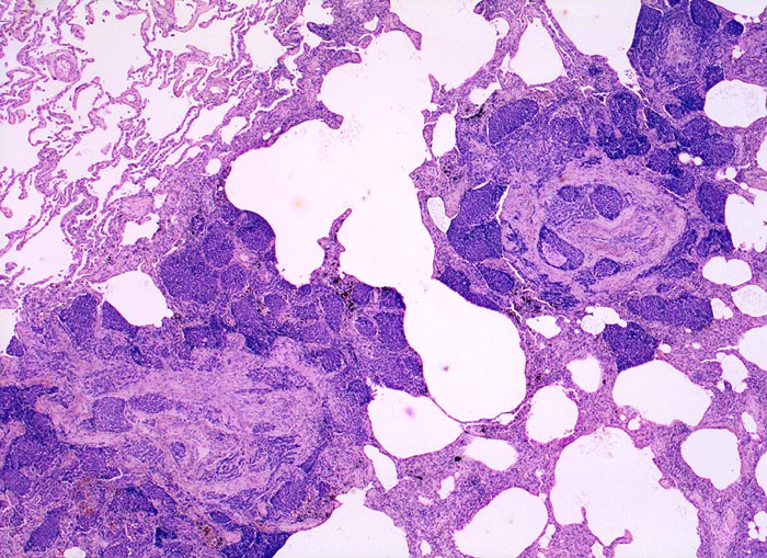
Morphologische Merkmale:
  • Sternförmiges Karzinom mit zentraler Vernarbung mit reichlich schwarzem Anthrakosepigment.
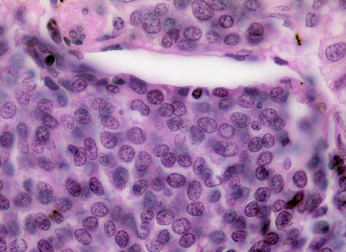
  • Das Karzinom ist aufgebaut aus tubulären und kribriformen Drüsen.
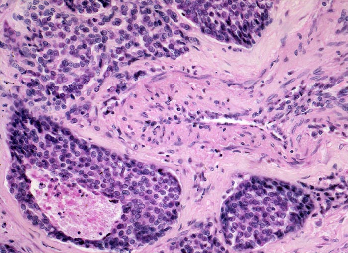
  • In den sternförmigen Ausläufern finden sich erweiterte Endothelausgekleidete Lymphgefässe in der Nachbarschaft von Blutgefässen.
  • Die erweiterten Lymphgefässe enthalten solide Tumorzellaggregate.
  • Vermehrte Alveolarmakrophagen in den peritumoralen Alveolen mit phagozytiertem Anthrakose- und Hämosiderinpigment (Rauchermakrophagen).
  • Peritumorales Lungenemphysem (Traktionsemphysem).
Das sollte der Kliniker dem Pathologen mitteilen:
  • Primärtumor.
  • Radiologischer Befund.
Makroskopie
Befund
Pathologischer Befund
Normalbefund
Datum
Ersteintrag: 10.07.2019
Update: 10.07.2019