Wichtiger Sicherheitshinweis: Pathorama wurde zwischen dem 26. und 27. Dezember 2025 angegriffen. Falls Sie die Website in diesem Zeitraum besucht haben, lesen Sie bitte die wichtigen Informationen hier:
Zur Information

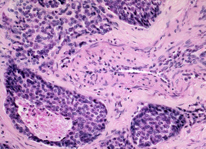
PathoPic – image database / PathoPic ID 4732 - neuroendokrines Karzinom: Lymphangiosis carcinomatosa

de
Diagnose
neuroendokrines Karzinom: Lymphangiosis carcinomatosa
Diagnose Gruppe
maligner Tumor
Topographie
Lunge
Topographie Gruppe
Lunge, Mediastinum mit Thymus
Beschreibung
Auffallend monomorphe, zytoplasmaarme Tumorzellen mit runden Kernen bilden solide scharf begrenzte Aggregate in Lymphgefässspalten rund um einen Pulmonalarterienast (Lymphangiosis carcinomatosa). Ein weiterer Tumorherd infiltriert das perivaskuläre Bindegewebe und ist entsprechend unscharf begrenzt. Tumornekrose.
Klinik
Metastasierendes Tumorleiden bei unbekanntem Primärtumor. Autoptisch primäres peripheres neuroendokrines Karzinom der Lunge mit ausgedehnter lymphogener und hämatogener Metastasierung.
Kommentar
Obwohl keine sichere Lymphgefässwand identifiziert werden kann, ist aufgrund der Lage eines Teils der Tumorzellaggregate rund um einen Pulmonalarterienast und der scharfen Begrenzung anzunehmen, dass sich der Tumor in den dort lokalisierten Lymhspalten ausbreitet.
Bilder Typ
Histologie
Vergrösserung
200
Alter
64
Geschlecht
unbekannt
Datum
Ersteintrag: 06.10.2002
Update: 08.07.2010