Wichtiger Sicherheitshinweis:
Pathorama wurde zwischen dem
26. und 27. Dezember 2025
angegriffen. Falls Sie die Website in diesem Zeitraum besucht haben, lesen Sie bitte die wichtigen Informationen hier:
Zur Information
Pathopic
HiPaKu
ZyPaKu
Projektinfos
PathoPic - Projekt- und Copyright-Info
About
Pathopic
HiPaKu
ZyPaKu
PathoPic – image database
/
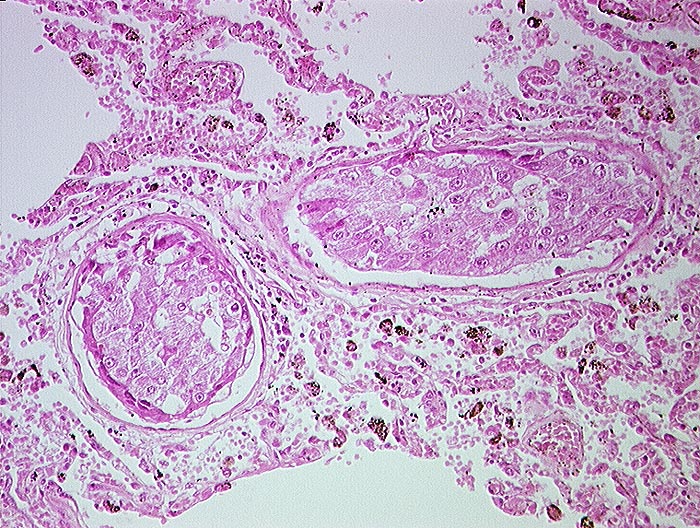
PathoPic ID 1279 - Hepatozelluläres Karzinom : Tumorembolien
de
Diagnose
Hepatozelluläres Karzinom : Tumorembolien
Diagnose Gruppe
maligner Tumor
Topographie
Lunge
Topographie Gruppe
Lunge, Mediastinum mit Thymus
Beschreibung
Solide
►
Tumorzellaggregate in Pulmonalarterienästen. Die Tumorzellen haben grosse Ähnlichkeit mit Leberzellen.
Kommentar
Hepatozelluläre Karzinome haben die Tendenz sich in Form von Tumorembolien in die Lungen auszubreiten.
Bilder Typ
Histologie
Geschlecht
weiblich
Datum
Ersteintrag: 05.12.2001
CPS
·
©
2025 Institut für Pathologie Basel
/
Dr. med. Katharina Glatz-Krieger
.
·
v2.2