Wichtiger Sicherheitshinweis: Pathorama wurde zwischen dem 26. und 27. Dezember 2025 angegriffen. Falls Sie die Website in diesem Zeitraum besucht haben, lesen Sie bitte die wichtigen Informationen hier:
Zur Information

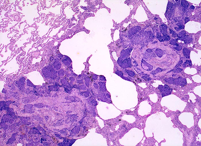
PathoPic – image database / PathoPic ID 4730 - Lymphangiosis carcinomatosa

de
Diagnose
Lymphangiosis carcinomatosa
Diagnose Gruppe
maligner Tumor
Topographie
Lunge
Topographie Gruppe
Lunge, Mediastinum mit Thymus
Beschreibung
Dunkle solide Tumorinfiltrate füllen erweiterte Lymphgefässlichtungen um einen zentralen Pulmonalarterienast. Der Tumor greift auch auf das angrenzende Parenchym über.
Klinik
Metastasierendes Tumorleiden bei unbekanntem Primärtumor. Autoptisch primäres peripheres neuroendokrines Karzinom der Lunge mit ausgedehnter lymphogener und hämatogener Metastasierung.
Bilder Typ
Histologie
Vergrösserung
25
Alter
64
Geschlecht
unbekannt
Datum
Ersteintrag: 06.10.2002
Update: 26.09.2004