Wichtiger Sicherheitshinweis: Pathorama wurde zwischen dem 26. und 27. Dezember 2025 angegriffen. Falls Sie die Website in diesem Zeitraum besucht haben, lesen Sie bitte die wichtigen Informationen hier:
Zur Information

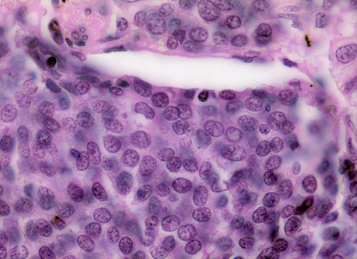
PathoPic – image database / PathoPic ID 4733 - neuroendokrines Karzinom: Lymphangiosis carcinomatosa

de
Diagnose
neuroendokrines Karzinom: Lymphangiosis carcinomatosa
Diagnose Gruppe
maligner Tumor
Topographie
Lunge
Topographie Gruppe
Lunge, Mediastinum mit Thymus
Beschreibung
Monomorphe, zytoplasmaarme Tumorzellen mit feinkörnigem Chromatin (sogenanntes Pfeffer und Salz Chromatin neuroendokriner Tumoren) mit unauffälligen Nukleolen. Am Rand des Tumorzellaggregates ist ein Spaltraum erkennbar, welcher durch flache Endothelzellen ausgekleidet wird.
Klinik
Metastasierendes Tumorleiden bei unbekanntem Primärtumor. Autoptisch primäres peripheres neuroendokrines Karzinom der Lunge mit ausgedehnter lymphogener und hämatogener Metastasierung.
Bilder Typ
Histologie
Vergrösserung
630
Alter
64
Geschlecht
unbekannt
Datum
Ersteintrag: 30.07.2002
Update: 08.07.2010