Wichtiger Sicherheitshinweis: Pathorama wurde zwischen dem 26. und 27. Dezember 2025 angegriffen. Falls Sie die Website in diesem Zeitraum besucht haben, lesen Sie bitte die wichtigen Informationen hier:
Zur Information

Basel 1MA/ Plasmazellmyelom

Diagnose
Plasmazellmyelom
Diagnose Gruppe
maligner Tumor
Differenzialdiagnose
  • - Chronische Osteomyelitis- Lymphoplasmozytisches Lymphom- Karzinommetastase
Topographie Gruppe
Lymphatische Gewebe, KM, Milz
Topographie
Knochenmark, Wirbelkörper
Einleitung
Histogenese:
Das Plasmazellmyelom stellt eine multifokale Plasmazellneoplasie ausgehend vom Knochenmark dar. Plasmazellneoplasien können sich als Plasmozytome (lokalisierte tumorartige Erkrankung), Plasmazellmyelome (multiple lytische Herde im Knochenmark) oder Plasmazellleukämien (leukämische Ausschwemmung bei 2%) präsentieren. Vorstufen des Plasmazellmyeloms sind die monoklonale Gammopathie unklarer Signifikanz (MGUS) und das Smoldering Myeloma.

Lokalisation:
Lytische Knochenherde und tumorale Massen monoklonaler Plasmazellen sind am häufigsten in Wirbelkörpern, Rippen, Schädelknochen, Becken, Femur, Clavicula und Scapula.

Morphologie:
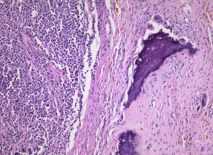
Makroskopisch sind die runden Osteolyseherde gefüllt mit einer weichen gelatinösen fischfleischartigen grauroten Tumormasse. Gelegentlich findet sich anstelle von Osteolysen eine diffuse Osteoporose. In der Knochenmarkbiopsie sind die Plasmazellen vermehrt. Im Gegensatz zu den kleinen Aggregaten von 5 bis 6 Plasmazellen rund um Markarteriolen bei reaktiver Plasmozytose bilden Plasmazellmyelome grössere Herde, Knoten oder flächenhafte Infiltrate. Für ein Plasmazellmyelom spricht eine tumorale Masse von Plasmazellen, welche das ortsständige Knochenmark verdrängt. Wenn über 10% des Markvolumens von klonalen Plasmazellen eingenommen wird, ist die Diagnose eines Plasmazellmyeloms sicher. Je nach klinischer Präsentation liegt dann eine symptomatische oder asymptomatische Verlaufsform vor. Die neoplastischen Zellen produzieren meist monotypische zytoplasmatische Ig (meist IgG, gelegentlich IgA, selten IgD, IgE oder IgM). 85% produzieren Schwerketten und Leichtketten, die restlichen 15% ausschliesslich kappa oder lambda Leichtketten (> 1097). Die klonalen Paraproteine können in den meisten Fällen mit einer Serumelektrophorese oder Urinelektrophorese gemessen werden können.

update 8. August 2017
Klinik
Vorkommen:
In der Schweiz liegt die Inzidenz bei 6-7 Erkrankungen/100'000 Einwohner pro Jahr. Die Inzidenz hat in den letzten Jahren stark zugenommen. Das mittlere Alter bei Diagnosestellung beträgt 65 bis 70 Jahre. Frauen und Männer sind fast gleich häufig betroffen.

Symptomatik:
Das Plasmazellmyelom ist charakterisiert durch ein monoklonales Serumprotein und multiple osteolytische Knochenherde, pathologische Frakturen oder Osteoporose, Knochenschmerzen, Hyperkalzämie und Anämie (Verdrängung des blutbildenden Knochenmarks, Niereninsuffizienz). Diese Symptome werden als Zeichen eines sogenannten „Endorganschadens“ bezeichnet (CRAB-Kriterien: Hyperkalzämie, Niereninsuffizienz, Anämie, Knochenläsionen). Wiederholte bakterielle Infektionen (reduzierte Menge normaler Antikörper) und eine Niereninsuffizienz (Myelomniere (> 1713) (> 1724)) sind häufig. Serumelektrophorese, Immunfixation und die Bestimmung der freien Leichtketten erfassen in 97% der Fälle ein klonales Paraprotein.

Diagnostik:
  • Die Diagnose eines symptomatischen Plasmazellmyeloms umfasst folgende Kriterien:
    • M-Protein im Serum oder Urin
    • Klonale Plasmazellen im Knochenmark (kein Grenzwert definiert) und/oder Plasmozytom
    • Endorganschaden (CRAB-Kriterien)
  • Asymptomatisches (Smoldering) Myelom:
    • M-Protein im Serum und/oder
    • 10% klonale Plasmazellen im Knochenmark
    • Kein Endorganschaden (keine CRAB-Kriterien)
    Fälle mit einem M-Protein im Serum und <10% klonale Plasmazellen im Knochenmark werden bei fehlendem Endorganschaden (keine CRAB-Kriterien) als nicht behandlungsbedürftiges MGUS (monoklonale Gammopathie unklarer Signifikanz) bezeichnet.

    Therapie und Prognose:
    Mit einer gewöhnlichen Chemotherapie sind Plasmazellmyelome nicht heilbar. Das Behandlungsziel besteht in einer möglichst langen Zeit bis zur nächsten Progression. Die einzige kurative Therapieoption bei jüngeren Patienten stellt eine autologe/allogene Stammzelltransplantation dar. Immunmodulatoren und Proteasomen-Inhibitoren verlängern in der Altersgruppe der älteren Patienten zu einer Verlängerung der progressionsfreien Ziet und einem verlängerten Überleben. Bisphosphonate hemmen den pathologischen Knochenabbau bei Myelompatienten und werden als Ergänzung zur myelomspezifischen Therapie eingesetzt. Die Prognose wird durch das Stadium der Erkrankung, die Tumorbiologie (Plasmazellmyelom, Plasmazellleukämie, extramedulläre Manifestationen) und durch die Genetik bestimmt. Das Fünfjahresüberleben liegt je nach Risikogruppe zwischen 40-82%.

    update 8. August 2017
  • Morphologie
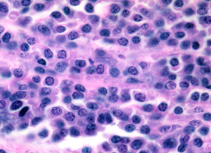
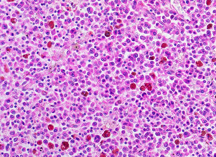
    Morphologische Merkmale:
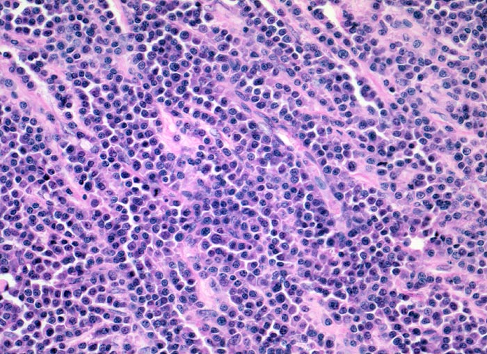
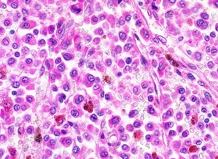
    • Knochenmarkstanze mit nodulärer Hyperzellularität des blutbildenden Marks.
    • Keine wesentliche Osteopenie.
    • In den hyperzellulären Arealen dichte Rasen neoplastischer atypischer Plasmazellen.
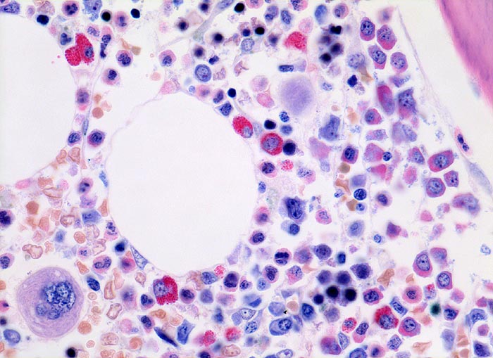
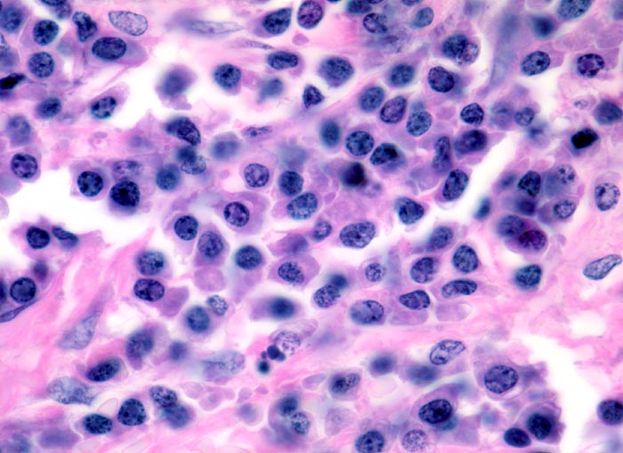
    • In dieser Giemsa-Färbung sind die Plasmazellen gut erkennbar. Die Plasmazellen sind polymorph, vereinzelt mehrkernig. Exzentrisch im Zytoplasma lokalisierte vergrösserte Radspeichenkerne . Reichlich violettes Zytoplasma mit paranukleärer Aufhellung. Zellkerne teils mit vergrössertem Nukleolus.
    • Ausserhalb der Plasmazellrasen findet sich spärlich residuelles blutbildendes Knochenmark.
    Das sollte der Kliniker dem Pathologen mitteilen:
    • Solitärer Herd oder multiple Herde.
    • Osteolysen.
    • M-Komponente im Serum oder im Urin.
    • Reduzierte normale Immunglobuline.

    update 21. August 2014
    Makroskopie
    Befund
    Pathologischer Befund
    Normalbefund
    Literatur
    Datum
    Ersteintrag: 10.07.2019
    Update: 10.07.2019