Wichtiger Sicherheitshinweis: Pathorama wurde zwischen dem 26. und 27. Dezember 2025 angegriffen. Falls Sie die Website in diesem Zeitraum besucht haben, lesen Sie bitte die wichtigen Informationen hier:
Zur Information

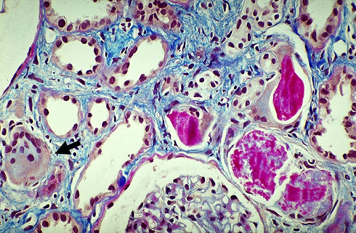
PathoPic – image database / PathoPic ID 1724 - Myelomniere

de
Diagnose
Myelomniere
Diagnose Gruppe
maligner Tumor
Topographie
Niere
Topographie Gruppe
Niere, Harnwege
Beschreibung
Die zum Teil krümelig zerfallenen Zylinder werden teilweise von Riesenzellen vollständig umhüllt. An einer Stelle wird das Tubuluslumen durch eine Riesenzelle vollständig ausgefüllt.
Kommentar
Proteinurie ohne nephrotisches Syndrom, da keine Hypalbuninämie. Ausscheidung von Bence-Jones-Protein. Akutes Nierenversagen oder langsam ansteigendes Serumkreatinin. Heute sterben weniger als 10% der Patienten an Urämie wegen verbesserter Hydratation.
Bilder Typ
Histologie
Geschlecht
weiblich
Datum
Ersteintrag: 07.01.2002