Wichtiger Sicherheitshinweis:
Pathorama wurde zwischen dem
26. und 27. Dezember 2025
angegriffen. Falls Sie die Website in diesem Zeitraum besucht haben, lesen Sie bitte die wichtigen Informationen hier:
Zur Information
Pathopic
HiPaKu
ZyPaKu
Projektinfos
PathoPic - Projekt- und Copyright-Info
About
Pathopic
HiPaKu
ZyPaKu
PathoPic – image database
/
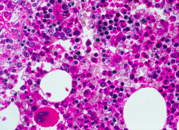
PathoPic ID 4026 - normales blutbildendes Knochenmark
de
Diagnose
normales blutbildendes Knochenmark
Diagnose Gruppe
Normalbefund
Topographie
Knochenmark, Beckenkamm
Topographie Gruppe
Lymphatische Gewebe, KM, Milz
Beschreibung
Markzentral sind alle drei Blutbildungsreihen vertreten und zeigen eine normale Ausreifung.
Myelopoese,
Megakaryopoese und
Erythropoese.
Bilder Typ
Histologie
Vergrösserung
40
Alter
43
Geschlecht
männlich
Datum
Ersteintrag: 13.01.2002
CPS
·
©
2025 Institut für Pathologie Basel
/
Dr. med. Katharina Glatz-Krieger
.
·
v2.2