Wichtiger Sicherheitshinweis: Pathorama wurde zwischen dem 26. und 27. Dezember 2025 angegriffen. Falls Sie die Website in diesem Zeitraum besucht haben, lesen Sie bitte die wichtigen Informationen hier:
Zur Information

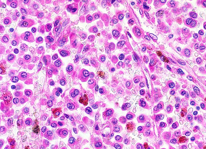
PathoPic – image database / PathoPic ID 4140 - Plasmazellmyelom

de
Diagnose
Plasmazellmyelom
Diagnose Gruppe
maligner Tumor
Topographie
Knochenmark, Wirbelkörper
Topographie Gruppe
Lymphatische Gewebe, KM, Milz
Beschreibung
Tumor ausschliesslich aus atypischen Plasmazellen zusammengesetzt: exzentrisch gelagerte Kerne, ausladendes Zytoplasma. Grobes, randständiges Heterochromatin, im typischen Fall mit Radspeichenstruktur.
Klinik
Notfalleinweisung wegen umschriebenen Thoraxschmerzen ohne adäquates Trauma. Im Röntgenbild Nachweis multipler Frakturen der Wirbelsäule und der Rippen bei grobsträhniger Osteoporose. In der Serumelektrophorese Nachweis einer Paraproteinämie.
Kommentar
Diagnosesicherung: Immunhistologischer Nachweis von monoklonalem Immunglobulin (IgG oder IgA und kappa- oder lambda-Leichtketten in einem Verhältnis von >1:16 bzw. >16:1). Klinisch entsprechender Nachweis einer Paraproteinämie oder Proteinurie (Bence-Jones Protein = monoklonale freie Leichtketten).
Bilder Typ
Histologie
Vergrösserung
400
Alter
64
Geschlecht
männlich
Datum
Ersteintrag: 06.10.2002
Update: 09.09.2013