Wichtiger Sicherheitshinweis: Pathorama wurde zwischen dem 26. und 27. Dezember 2025 angegriffen. Falls Sie die Website in diesem Zeitraum besucht haben, lesen Sie bitte die wichtigen Informationen hier:
Zur Information

Basel 1MA/ Myoglanduläre Prostatahyperplasie

Diagnose
Myoglanduläre Prostatahyperplasie
Diagnose Gruppe
Hyperplasie / Hypertrophie
Differenzialdiagnose
Topographie Gruppe
Mamma
Topographie
Prostata
Einleitung
Aetiologie:
Androgene, Östrogene, Stroma-Epithel Interaktionen, Wachstumsfaktoren und Neurotransmitter spielen möglicherweise eine Rolle bei der gestörten Zellproliferation.

Lokalisation:
Im Gegensatz zum Prostatakarzinom, welches in der Aussendrüse lokalisiert ist, finden sich die hyperplastischen Knoten vor allem in der Innendrüse. Makroskopisch ist die Prostata meist vergrössert und weist zentral weisse Knoten auf. Die myoglanduläre Prostatahyperplasie ist pathomorphologisch charakterisiert durch eine Proliferation von stromaler und epithelialer Komponente der Prostata im periurethralen Bereich. Die histologische Untersuchung von transurethral reseziertem Gewebe dient dem Ausschluss eines klinisch okkulten Karzinoms.
Klinik
Vorkommen:
Die Prostata beginnt sich etwa ab dem 40. Altersjahr zu vergrössern. Normal ist ein Gewicht von 25 bis 30 Gramm (> 2052). Klinisch wird eine Prostatahyperplasie bei rund 70% aller Männer zwischen 60 und 70 Jahren diagnostiziert. Ungefähr 20 Prozent müssen sich wegen tatsächlicher Beschwerden auch einer Therapie unterziehen. Die klinischen Symptome entstehen wahrscheinlich aus der Kombination von erhöhtem urethralem Widerstand sowie Obstruktions- und altersbedingter Detrusordysfunktion. Die wichtigsten klinischen Zeichen sind der abnehmende Harnstrahl und das Gefühl der unvollständigen Blasenentleerung. Weitere Zeichen sind Startschwierigkeiten, ein (mehrfach) unterbrochener Strahl, Nachtröpfeln und Nykturie.

Komplikationen:
Als Folge der Restharnbildung können chronische Harnwegsinfekte enstehen, welche mit einer lästigen Pollakisurie verbunden sind. Jederzeit im Verlauf kann es zum akuten Harnverhalt kommen.

Diagnostik:
Ursprünglich wurde die Hyperplasie aufgrund der Grösse der Prostata diagnostiziert, obwohl Grösse und Symptomatik nur schlecht korrelieren. Später wurden auch urodynamische Messresultate einbezogen, welche einen erhöhten Entleerungsdruck oder einen verminderten Fluss anzeigten. Bei entsprechender Symptomatik sollte mittels Urinuntersuchung ein Harnwegsinfekt ausgeschlossen werden. Nach Blasensteinen, Harnretention und obstruktiver Nephropathie sollte bei Vorliegen einer Prostatahyperplasie gesucht werden. Die digitale rektale Untersuchung dient dem Nachweis karzinomverdächtiger Herde in der Prostata (hart) bzw. des Rektums.

Therapie:
Bei einer unkomplizierten Prostatahyperplasie und mäßigen Beschwerden ist keine unmittelbare Therapie erforderlich. Verbreitet, aber wissenschaftlich wenig geprüft, sind prostatotrope Phytopharmaka. Als Standardtherapieverfahren ist die transurethrale Prostataresektion anzusehen. Die Therapieindikation richtet sich nach der Symptomatik. Eine Operation ist insbesondere dann angezeigt, wenn Restharn oder bereits eine Niereninsuffizienz als Folge der Prostatahyperplasie vorliegen.
Normalbefund
Morphologie
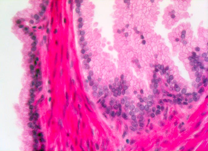
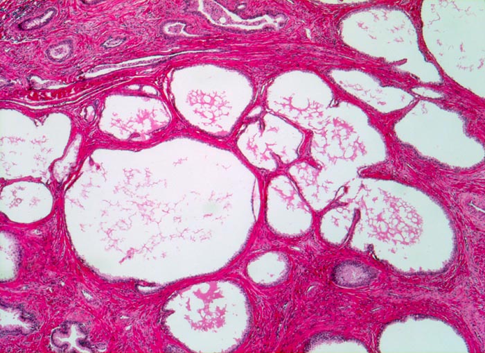
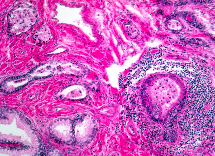
Morphologische Merkmale:
  • Knotiges Parenchym.
  • Organoid angeordnete, teils dilatierte grosse Drüsen eingebettet in ebenfalls vermehrtes fibroleiomyomatöses Stroma.
  • Drüsen ausgekleidet von hochprismatischen sekretorischen Zellen (innen) mit unscheinbaren Nukleolen und durchgehender flacher Basalzellschicht (aussen).
  • Konzentrisch geschichtetes hypereosinophiles Sekret in einigen Drüsenlumina (Corpora amylacea).
  • Herdförmig geringes chronisches Entzündungsinfiltrat.
Das sollte der Kliniker dem Pathologen mitteilen:
  • Karzinomverdacht (PSA).
Makroskopie
Befund
Pathologischer Befund
Normalbefund
Datum
Ersteintrag: 10.07.2019
Update: 10.07.2019