Wichtiger Sicherheitshinweis: Pathorama wurde zwischen dem 26. und 27. Dezember 2025 angegriffen. Falls Sie die Website in diesem Zeitraum besucht haben, lesen Sie bitte die wichtigen Informationen hier:
Zur Information

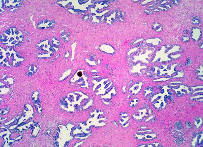
PathoPic – image database / PathoPic ID 4617 - Normale Prostatadrüsen

de
Diagnose
Normale Prostatadrüsen
Diagnose Gruppe
Normalbefund
Topographie
Prostata
Topographie Gruppe
Genitalorgane, männlich
Beschreibung
Das normale Prostataparenchym besteht aus regelmässig angeordneten Paketen grösserer Drüsen eingebettet in glatte Muskulatur. Die Drüsen enthalten oft eingedicktes und verkalktes Sekret.
Bilder Typ
Histologie
Vergrösserung
25
Alter
60
Geschlecht
männlich
Datum
Ersteintrag: 06.05.2002
Update: 30.07.2010