Wichtiger Sicherheitshinweis:
Pathorama wurde zwischen dem
26. und 27. Dezember 2025
angegriffen. Falls Sie die Website in diesem Zeitraum besucht haben, lesen Sie bitte die wichtigen Informationen hier:
Zur Information
Pathopic
HiPaKu
ZyPaKu
Projektinfos
PathoPic - Projekt- und Copyright-Info
About
Pathopic
HiPaKu
ZyPaKu
PathoPic – image database
/
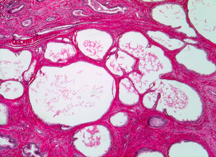
PathoPic ID 4870 - myoglanduläre Prostatahyperplasie
de
Diagnose
myoglanduläre Prostatahyperplasie
Diagnose Gruppe
Hyperplasie / Hypertrophie
Topographie
Prostata
Topographie Gruppe
Genitalorgane, männlich
Beschreibung
Organoid angeordnete, teils dilatierte Drüsen eingebettet in glattmuskuläres Stroma.
Zusatzbefund
Autoptischer Befund: Prostata deutlich vergrössert (7cm Durchmesser) und knotig. Die weissen Knoten zeigen eine feinzystische Schnittfläche (makroskopisch erkennbare dilatierte Drüsenlumina). Einzelne Zystchen enthalten schwarze Steinchen (Verkalktes Sekret). Balkenharnblase.
Klinik
Seit mehreren Jahren zunehmende Miktionsbeschwerden mit wiederholtem Harnverhalt.
Bilder Typ
Histologie
Vergrösserung
25
Alter
81
Geschlecht
männlich
Datum
Ersteintrag: 11.06.2002
Update: 30.07.2010
CPS
·
©
2025 Institut für Pathologie Basel
/
Dr. med. Katharina Glatz-Krieger
.
·
v2.2