Wichtiger Sicherheitshinweis: Pathorama wurde zwischen dem 26. und 27. Dezember 2025 angegriffen. Falls Sie die Website in diesem Zeitraum besucht haben, lesen Sie bitte die wichtigen Informationen hier:
Zur Information

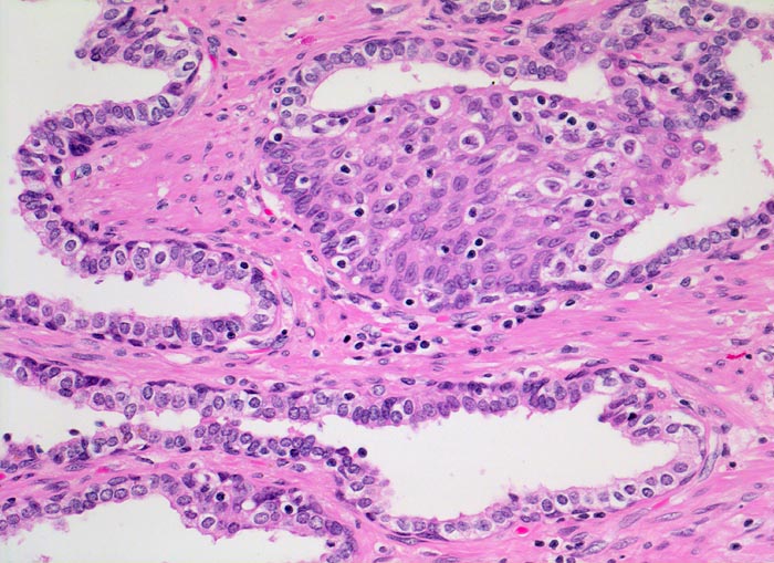
PathoPic – image database / PathoPic ID 4623 - Normale Prostatadrüsen mit Basalzellhyperplasie

de
Diagnose
Normale Prostatadrüsen mit Basalzellhyperplasie
Diagnose Gruppe
Normalbefund
Topographie
Prostata
Topographie Gruppe
Genitalorgane, männlich
Beschreibung
Das normale Prostataparenchym besteht aus Paketen grösserer Drüsen eingebettet in glatte Muskulatur. Das Epithel der tubuloalveolären Drüsen ist ein- bis mehrreihig und weist eine durchgehende Schicht flachgedrückter Basalzellen auf. Nicht selten kann eine fokale Hyperplasie dieser Zellen nachgewiesen werden. Die Epithelzellen haben mittelgrosse runde bis ovale Kerne mit winzigen Nukleolen und reichlich Zytoplasma.
Kommentar
Die Abwesenheit der Basalzellschicht ist eines der verlässlichsten Kriterien zur Diagnose eines Adenokarzinoms. In verschiedenen benignen Läsionen ist die Basalzellschicht fragmentiert, fehlt aber praktisch nie vollständig. In Zweifelsfällen kann die Basalzellschicht immunhistochemisch nachgewiesen werden.
Bilder Typ
Histologie
Vergrösserung
200
Alter
60
Geschlecht
männlich
Datum
Ersteintrag: 06.05.2002
Update: 30.07.2010