Wichtiger Sicherheitshinweis: Pathorama wurde zwischen dem 26. und 27. Dezember 2025 angegriffen. Falls Sie die Website in diesem Zeitraum besucht haben, lesen Sie bitte die wichtigen Informationen hier:
Zur Information

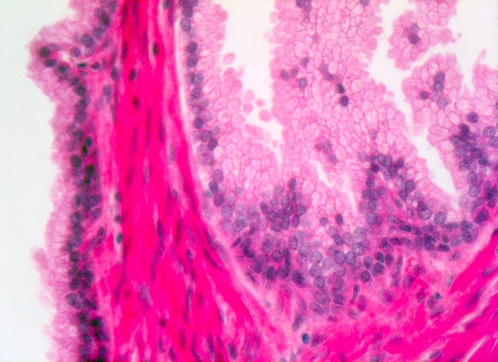
PathoPic – image database / PathoPic ID 4872 - myoglanduläre Prostatahyperplasie

de
Diagnose
myoglanduläre Prostatahyperplasie
Diagnose Gruppe
Hyperplasie / Hypertrophie
Topographie
Prostata
Topographie Gruppe
Genitalorgane, männlich
Beschreibung
Drüsen mit pseudopapillären Epithelproliferationen. Zylindrisches Epithel mit einer durchgehenden Basalzellschicht. Nukleolen sind sehr klein oder gar nicht erkennbar. Zwischen den Drüsen glatte Muskelzellen mit zigarrenförmigen Kernen.
Zusatzbefund
Autoptischer Befund: Prostata deutlich vergrössert (7cm Durchmesser) und knotig. Die weissen Knoten zeigen eine feinzystische Schnittfläche (makroskopisch erkennbare dilatierte Drüsenlumina). Einzelne Zystchen enthalten schwarze Steinchen (Verkalktes Sekret). Balkenharnblase.
Klinik
Seit mehreren Jahren zunehmende Miktionsbeschwerden mit wiederholtem Harnverhalt.
Kommentar
In dieser starken Vergrösserung ist das hyperplastische Gewebe nicht von normalem Parenchym zu unterscheiden.
Bilder Typ
Histologie
Vergrösserung
320
Alter
81
Geschlecht
männlich
Datum
Ersteintrag: 06.10.2002
Update: 30.07.2010