Wichtiger Sicherheitshinweis: Pathorama wurde zwischen dem 26. und 27. Dezember 2025 angegriffen. Falls Sie die Website in diesem Zeitraum besucht haben, lesen Sie bitte die wichtigen Informationen hier:
Zur Information

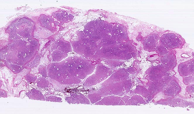
Basel 3BA HS/ Akute Pankreatitis (Kolliquationsnekrose)

Diagnose
Akute Pankreatitis (Kolliquationsnekrose)
Diagnose Gruppe
Entzündung / Reparatur
Differenzialdiagnose
Topographie Gruppe
Leber, Gallenwege, Pankreas
Topographie
Pankreas
Einleitung
Definition:
Die akute Pankreatitis ist eine reversible Läsion charakterisiert durch eine Entzündung des Pankreas. Die interstitiell-ödematöse Variante (80%) ist häufiger als die nekrotisch-hämorrhagische Variante (20%).
 
Aetiologie und Pathogenese:
In etwa 40% der Fälle führen Gallensteine zu einem Verschluss des Pankreasgangs und sind die häufigste Ursache für eine akute Pankreatitis. Übermässiger Alkoholkonsum (40%) oder ein St.n. endoskopisch-retrograder Cholangiopankreatikographie (ERCP) Untersuchung (5-10%) (> 50) gehören ebenfalls zu den häufigeren Ursachen. Seltenere Auslöser einer akuten Pankratitis sind Hypertriglizeridämie, grössere operative Eingriffe, Trauma, Medikamente, Infektionen (Viren, Bakterien und Parasiten), Hyperkalzämie, Ischämie, andere obstruktive Ursache des Pankreasgangs, chronisch entzündliche Darmerkrankung, Autoimmunerkrankung und Genmutationen und -polymorphismen. Ein Teil der Fälle bleibt idiopathisch.
   
Morphologie:
Das Spektrum reicht von Ödem und Infiltraten neutrophiler Granulozyten ohne oder mit kleinen Fettgewebsnekrosen bei der interstitiell-ödematösen Variante über großflächige hämorrhagische Nekrosen im peripankreatischen Fettgewebe und im Pankreasparenchym bei der nekrotisch-hämorrhagischen Variante (Kurspräparat). Das peripankreatische Fettgewebe wird bei der nekrotisch-hämorrhagischen Variante durchsetzt von grösseren Fettgewebsnekrosen mit Verseifung, die gesäumt werden von dichten Infiltraten neutrophiler Granulozyten teils mit Abszessbildung. Die Hämorrhagien kommen durch Wandnekrosen kleiner und mittelgrosser Venen im peripankreatischen Fettgewebe zustande. 
 
Bei beiden Varianten der akuten Pankreatitis ist das entzündliche Infiltrat zu Beginn der Erkrankung durch neutrophile Granulozyten dominiert. In der Organisationsphase kommen Makrophagen und Lymphozyten hinzu.
 
Update 30. August 2023 
Klinik
Epidemiologie:
Die akute Pankreatitis ist mit einer Inzidenz von 30/100'000 Einwohner/Jahr ein häufiges Krankheitsbild. 
  
Symptomatik:
Das Kardinalsymptom einer akuten Pankreatitis ist der dumpfe, bohrende andauernde gürtelförmige Oberbauchschmerz teils mit Ausstrahlung in den Rücken. Die Intensität der Schmerzen ist weder für den Verlauf noch die Schwere der Entzündung ausschlaggebend. Oft kommen Appetitlosigkeit, Übelkeit und Erbrechen, Diarrhoe, Symptome einer Darmparalyse, eine Tachykardie oder Vigilanzstörungen hinzu. In schweren Fällen ist der Kreislauf instabil. 
Das klinische Ausmas der Symptomatik reicht von geringen abdominellen Beschwerden bis hin zu einem potenziell lebensbedrohlichen Multiorganversagen.  

 Diagnostik:
 Eine akute Pankreatitis wird diagnostiziert, sobald zwei der drei folgenden Kriterien erfüllt sind:
·        Typische Abdominalschmerzen
·        Lipase-Konzentration mehr als das Dreifache des Normwerts
·        Kompatible Bildgebung
 
Die Sonographie eignet sich zur Darstellung von Gallensteinen, nicht aber zur Bestimmung des Schweregrades der Erkrankung. Bei Verdacht auf biliäre Genese kann eine Bildgebung mittels MRI erfolgen. Ein Abdomen CT ist indiziert bei Patienten mit schwerer akuter Pankreatitis, um allfällige Komplikationen zu erkennen und den Schweregrad der Pankreatitis einzuschätzen, bei fehlender Besserung der Symptome und bei Tumorverdacht. Eine Abdomenübersichtsaufnahme ist nur im Falle eines Verdachts auf Ileus indiziert. 
Pankreasspezifische Amylase und Lipase sind typischerweise ab 3-6 Stunden nach Symptombeginn erhöht (>3-fach der Norm). Eine erhöhte Serumamylase ist aber nicht spezifisch für Pankreatitis und findet sich auch bei Dünndarmobstruktion, mesenterialer Ischämie, tuboovariellen Erkrankungen, Niereninsuffizienz oder Makroamylasämie. Der endoskopische Ultraschall kann eine Choledocholithiasis, Sludge in der Gallenblase oder eine intraduktale papilläre-muzinöse Neoplasie als mögliche Ursachen der Pankreatitis darstellen.
 
Therapie:
Bei einer schweren akuten Gallensteinpankreatitis oder assoziierter Cholangitis kann in einem frühen Stadium eine ERCP mit Sphinkterotomie und Steinextraktion durchgeführt werden. Bei leichter Pankreatitis sind Nahrungskarenz, intravenöse Flüssigkeitssubstitution und analgetische Therapie ausreichend. Eine schwere Panreatitis bedarf intensivmedizinischer Betreuung mit früher aggressiver Volumentherapie, da sich innert Stunden bis Tagen eine Schockzustand mit Organversagen oder eine gastrointestinale Blutung entwickeln kann. Aufgrund der systemischen Entzündung mit kataboler Stoffwechsellage ist eine Ernährungstherapie wichtig.
   
Prognose:
Bei 80% der Patienten mit akuter Pankreatitis ist der Verlauf mild, ohne lokale Komplikationen oder Funktionseinschränkungen eines anderen Organs. Eine Organdysfunktion besteht bei der interstitiell-ödematosen Variante mit einer Mortalität von weniger als 2% meist nicht. Die Mortalität erreicht bis zu 30% bei schwerer nekrotisierender Pankreatitis oder persistierneder Organdysfunktion. In der ersten Woche versterben die Patienten am Multiorganversagen, in den kommenden Wochen zusätzlich an Infektionen von Nekrosen und Pseudozysten. 

 update 30. August 2023 
Normalbefund
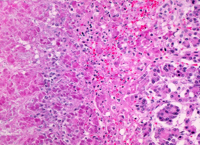
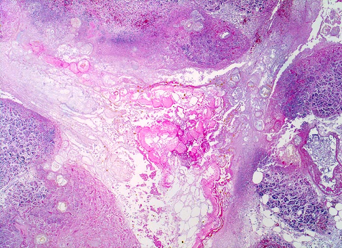
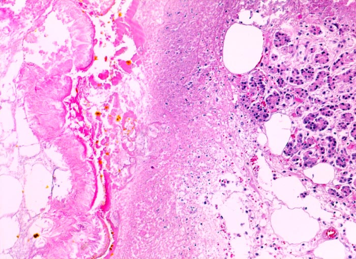
Morphologie
Morphologische Merkmale: 
  • Unregelmässige Nekrosestrassen durchziehen Fettgewebe und Pankreasparenchym. 
  • Die Grenzen zwischen vitalem und nekrotischem Gewebe sind unscharf. 
  • Frische, teils hämorrhagische autodigestive Kolliquationsnekrosen von Pankreasparenchym und Fettgewebe demarkiert von zerfallenden neutrophilen Granulozyten. 
  • Innerhalb der Nekroseareale Ablagerungen von amorphem gelborangem Hämatoidin (eisenfreies extrazelluläres Hämoglobinabbauprodukt). 
  • Nachweis kokkoider und fadenförmiger Bakterien im nekrotischen Fettgewebe. Das sollte der Kliniker dem Pathologen mitteilen: 
  • Serumamylase und Lipase. 
  • Grund für die akute Pankreatitis. 
Makroskopie
Befund
Pathologischer Befund
Normalbefund
Literatur
Datum
Ersteintrag: 08.03.2019
Update: 15.09.2023