Wichtiger Sicherheitshinweis: Pathorama wurde zwischen dem 26. und 27. Dezember 2025 angegriffen. Falls Sie die Website in diesem Zeitraum besucht haben, lesen Sie bitte die wichtigen Informationen hier:
Zur Information

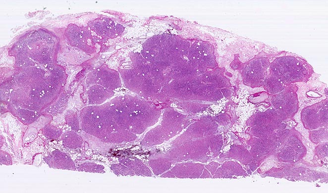
PathoPic – image database / PathoPic ID 4238 - akute Pankreatitis

de
Diagnose
akute Pankreatitis
Diagnose Gruppe
Entzündung / Reparatur
Topographie
Pankreas
Topographie Gruppe
Leber, Gallenwege, Pankreas
Beschreibung
Pankreasparenchym und Fettgewebe werden von unregelmässigen Nekrosestrassen durchzogen. Bevorzugt ist das interlobuläre Fettgewebe von den autodigestiven Nekrosen betroffen. Die Nekroseareale werden gegen aussen begrenzt durch einen feinen hämorrhagischen Randsaum. Zentrale Parenchymanteile (violett) sind noch vital.
Zusatzbefund
-
Klinik
Bekannter Ethylabusus. Nach einem Alkoholexzess kam der Patient wegen heftigster epigastrischer, in den Rücken ausstrahlender Abdominalschmerzen und orthostatischer Hypotonie auf die Notfallstation. 60 Stunden nach Spitaleintritt entwickelt der Patient ein Multiorganversagen und verstirbt.
Bilder Typ
Histologie
Vergrösserung
Scan
Alter
30
Geschlecht
männlich
Datum
Ersteintrag: 06.10.2002
Update: 17.08.2004