Wichtiger Sicherheitshinweis: Pathorama wurde zwischen dem 26. und 27. Dezember 2025 angegriffen. Falls Sie die Website in diesem Zeitraum besucht haben, lesen Sie bitte die wichtigen Informationen hier:
Zur Information

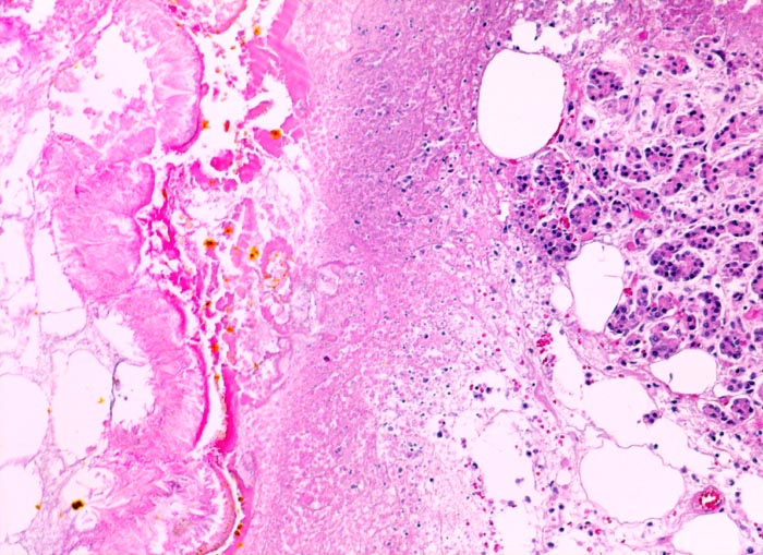
PathoPic – image database / PathoPic ID 4239 - akute Pankreatitis

de
Diagnose
akute Pankreatitis
Diagnose Gruppe
Entzündung / Reparatur
Topographie
Pankreas
Topographie Gruppe
Leber, Gallenwege, Pankreas
Beschreibung
Rechts im Bild vitales Pankreasparenchym. In der Mitte folgt eine unscharf begrenzte Nekrose bestehend aus nekrotischem Detritus und Kerntrümmern. Links im Bild nekrotisches Fettgewebe. Die gelben Flecken entsprechen Hämatoidin.
Zusatzbefund
-
Klinik
Bekannter Ethylabusus. Nach einem Alkoholexzess kam der Patient wegen heftigster epigastrischer, in den Rücken ausstrahlender Abdominalschmerzen und orthostatischer Hypotonie auf die Notfallstation. 60 Stunden nach Spitaleintritt entwickelt der Patient ein Multiorganversagen und verstirbt.
Bilder Typ
Histologie
Vergrösserung
100
Alter
30
Geschlecht
männlich
Datum
Ersteintrag: 06.10.2002