Wichtiger Sicherheitshinweis: Pathorama wurde zwischen dem 26. und 27. Dezember 2025 angegriffen. Falls Sie die Website in diesem Zeitraum besucht haben, lesen Sie bitte die wichtigen Informationen hier:
Zur Information

Basel 3BA HS/ Benignes reifes Teratom des Ovars

Diagnose
Benignes reifes Teratom des Ovars
Diagnose Gruppe
benigner Tumor
Differenzialdiagnose
Topographie Gruppe
Mamma
Topographie
Ovar
Einleitung
Histogenese:
 Reife zystische Teratome (=Dermoidzysten) gehören zu den Keimzelltumoren. Teratome bestehen aus reifen Geweben aller drei Keimblätter, die manchmal organoid angeordnet sind.

Morphologie:
 Makroskopisch sind reife Teratome leicht erkennbar. Ein zystischer Hohlraum ist gefüllt mit gelbem talgartigem Material durchmischt mit Haaren. Die Zystenauskleidung gleicht Haut. Eine oder mehrere polypoide Formationen bestehend aus Fettgewebe ragen in das Zystenlumen (sogenannter Kopfhöcker). Zähne, Knochen, Knorpel, Schilddrüsengewebe oder Hirngewebe können in manchen Fällen makroskopisch beobachtet werden. 
 Histologisch dominiert in fast allen Fällen ektodermales Gewebe einschliesslich verhornte Epidermis, Talg- und Schweissdrüsen, Haarfollikel und neuroektodermale Elemente. Mesodermale Anteile umfassen glatte Muskulatur, Knochen, Zähne, Knorpel und Fettgewebe. Vom Endoderm abgeleitet sind respiratorisches und gastrointestinales Gewebe, Schilddrüse, Speicheldrüse und selten Retina, Pankreas, Thymus, Nebenniere, Hypophyse, Niere, Lunge, Mamma und Prostata. In der Zystenwand lässt sich oft eine lipogranulomatöse Entzündung als Reaktion auf Zysteninhalt nachweisen. Eine maligne Entartung einzelner Gewebsbestandteile kommt nur in 2% aller Dermoidzysten vor. Am häufigsten sind Plattenepithelkarzinome oder Adenokarzinome. Monodermale Teratome enthalten praktisch ausschliesslich einen Gewebstyp. Dazu gehören die Struma ovarii, Karzinoide (> 2982), neuroektodermale Tumoren und Talgdrüsentumoren. 
Epidermoidzysten sind ausschliesslich von Plattenepithel ausgekleidet und haben keine Hautanhangsgebilde. Sie leiten sich wahrscheinlich vom Oberflächenepithel ab. 
Lediglich 3% der Teratome bei Frauen sind unreife Teratome mit potentiell malignem Verlauf. Unreife Teratome sind solide oder solid-zystisch (> 3662), haben eine weiche fleischige Schnittfläche mit Einblutungen und Nekrosen. Histologisch lässt sich embryonales, meist neuroektodermales Gewebe nachweisen. In der Regel ist auch unreifes Gewebe vom fetalen Typ und reifes Gewebe vom adulten Typ aus allen drei Keimblättern beigemischt. 
Sehr selten sind fetiforme Teratome bestehend aus einer Zyste, welche Strukturen ähnlich einem missgebildeten Fetus (Homunculus) enthält. 
Klinik
Vorkommen:
 Teratome machen 58% der benignen Ovarialtumoren aus. 15% der Tumoren sind bilateral. Mehr als 80% der reifen Teratome treten während der reproduktiven Phase auf. Selten sind sie bei Kindern oder nach der Menopause. 

Symptomatik:
 Die Patientinnen sind oft asymptomatisch. Gelegentlich bemerken die Betroffenen eine Zunahme des Bauchumfanges oder klagen über Bauchschmerzen. 

Diagnostik und Therapie:
 Wenn Zähne vorhanden sind, lässt sich die Diagnose radiologisch leicht stellen. 
Dermoidzysten werden operativ entfernt. Unreife Teratome werden zusätzlich chemotherapeutisch behandelt. 

Komplikationen:
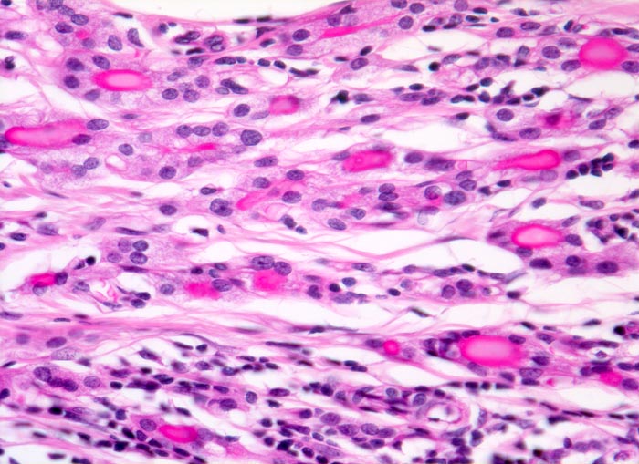
 Mögliche Komplikationen sind die Torsion mit Infarkt, Perforation, Hämoperitoneum und Autoamputation des Tumors. Eine plötzliche Ruptur kann zum akuten Abdomen führen. Eine Entleerung von Zysteninhalt kann ausserdem eine granulomatöse Peritonitis verursachen. 
Normalbefund
Morphologie
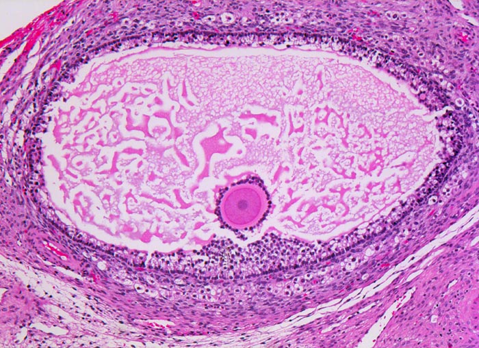
Morphologische Merkmale (1. Präparatlink): 
  • Tumor bestehend aus einer Mischung reifer epithelialer und mesenchymaler Gewebskomponenten: 
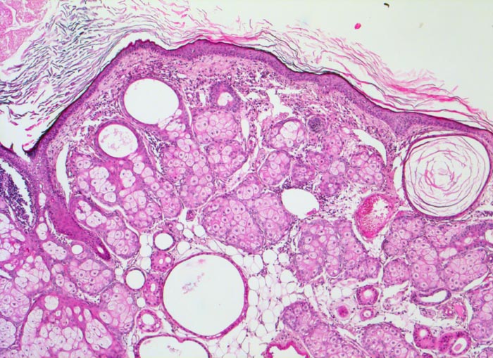
  • Das Gewebsfragment wird links oben von Magenschleimhaut vom Corpustyp bedeckt. Unmittelbar darunter finden sich hyaliner Knorpel und Kolonschleimhaut. 
  • Im mittleren Abschnitt des Präparates finden sich zystische Hohlräume, ausgekleidet von teils verhornendem Plattenepithel. Dieses ist assoziiert mit reichlich Talgdrüsen. 
  •  Unten im Bild sieht man zwei Zahnanlagen und Knochengewebe. 
  • Residuelles Ovarialgewebe ist nicht erkennbar. 

 Morphologische Merkmale (2. Präparatlink): 
  • Tumor bestehend aus einer Mischung reifer epithelialer, mesenchymaler und neuraler Gewebskomponenten: 
  • Am Rand der Gewebsstücke sind Restanteile von zelldichtem Ovarialstroma mit dickwandigen Gefässen erkennbar. 
  • Im Gewebefragment rechts lassen sich Drüsen, Knorpelgewebe und Fettgewebe nachweisen. 
  •  In beiden Gewebsfragmenten finden sich teilweise konzentrisch angeordnete meningotheliale Zellen mit reichlich blass eosinophilem Zytoplasma. Damit assoziiert reichlich psammomatoese Verkalkungen. 
  • Im linken Gewebsfragment finden sich in der Mitte reichlich Schilddrüsenfollikel sowie eine teils epidermal, teils von Zylinderzellen ausgekleidete Zyste mit Hautadnexstrukturen (Haarfollikel, Talgdrüsen) und einem fokalen chronischen Entzündungsinfiltrat. 

update 21. August 2014
Makroskopie
Befund
Pathologischer Befund
Normalbefund
Datum
Ersteintrag: 10.07.2019
Update: 03.11.2021