Wichtiger Sicherheitshinweis: Pathorama wurde zwischen dem 26. und 27. Dezember 2025 angegriffen. Falls Sie die Website in diesem Zeitraum besucht haben, lesen Sie bitte die wichtigen Informationen hier:
Zur Information

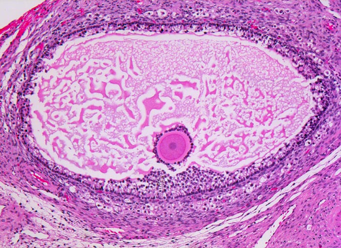
PathoPic – image database / PathoPic ID 4292 - Tertiärfollikel

de
Diagnose
Tertiärfollikel
Diagnose Gruppe
Normalbefund
Topographie
Ovar
Topographie Gruppe
Genitalorgane, weiblich
Beschreibung
Das Antrum (zystischer Hohlraum) enthält Liquor follicularis. Die Ovozyte sitzt exzentrisch auf dem Cumulus oophorus aus Granulosazellen und ist von der Corona radiata umgeben. Aufgrund eines Schnittartefaktes besteht zwischen Cumulus oophorus und Ovozyte ein schmaler Spalt. Angrenzend an die Granulosazellschicht die Stromazellen: Östrogenproduzierende Theka interna und ganz aussen die kleinzellige kompakte Theka externa ohne hormonelle Funktion.
Zusatzbefund
zystisches Corpus luteum und mehrere Follikelzysten
Bilder Typ
Histologie
Vergrösserung
160
Alter
25
Geschlecht
unbekannt
Datum
Ersteintrag: 05.04.2002
Update: 10.08.2010