Wichtiger Sicherheitshinweis: Pathorama wurde zwischen dem 26. und 27. Dezember 2025 angegriffen. Falls Sie die Website in diesem Zeitraum besucht haben, lesen Sie bitte die wichtigen Informationen hier:
Zur Information

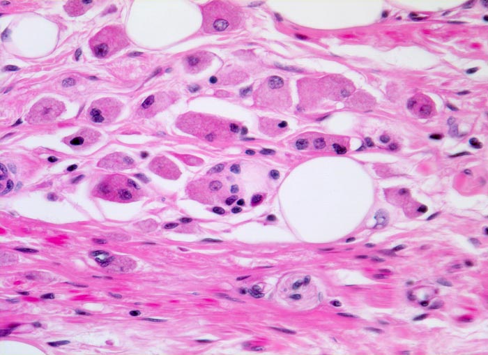
PathoPic – image database / PathoPic ID 4455 - gutartiges reifes Teratom: Ganglienzellen

de
Diagnose
gutartiges reifes Teratom: Ganglienzellen
Diagnose Gruppe
benigner Tumor
Topographie
Ovar
Topographie Gruppe
Genitalorgane, weiblich
Beschreibung
Reife Ganglienzellen mit reichlich Zytoplasma und exzentrisch gelagertem Kern in fibrillärem Stroma. Dazwischen einzelne reife Fettzellen.
Zusatzbefund
Ovar mit 8cm grossem prallelastischem Tumor mit glatter Oberfläche. Bei der Eröffnung des zystischen Tumors quellen Haare hervor, welche von Talgmassen durchsetzt sind. Auf der Zysteninnenseite haftet ein behaarter Knoten von 2cm Durchmesser mit fokalen Verkalkungen und lipomatösem Stroma (sogenannter Kopfhöcker).
Klinik
Palpabler Tumor im linken Unterbauch, Druckgefühl verursachend.
Bilder Typ
Histologie
Vergrösserung
320
Alter
24
Geschlecht
unbekannt
Datum
Ersteintrag: 06.10.2002
Update: 10.08.2010