Wichtiger Sicherheitshinweis:
Pathorama wurde zwischen dem
26. und 27. Dezember 2025
angegriffen. Falls Sie die Website in diesem Zeitraum besucht haben, lesen Sie bitte die wichtigen Informationen hier:
Zur Information
Pathopic
HiPaKu
ZyPaKu
Projektinfos
PathoPic - Projekt- und Copyright-Info
About
Pathopic
HiPaKu
ZyPaKu
PathoPic – image database
/
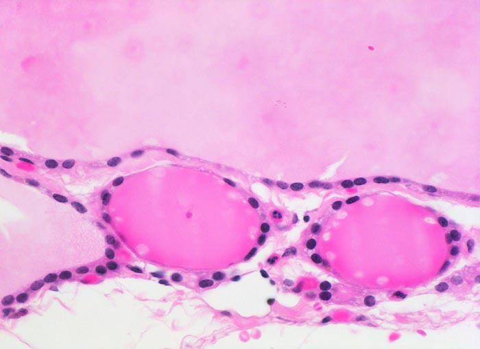
PathoPic ID 4839 - atrophe Schilddrüse
de
Diagnose
atrophe Schilddrüse
Diagnose Gruppe
Normalbefund
Topographie
Schilddrüse
Topographie Gruppe
Endokrinium
Beschreibung
Schilddrüsenparenchym mit geringer hormoneller Aktivität: Grosse Follikel gefüllt mit Kolloid. Nur vereinzelte
Resorptionsvakuolen. Flaches inaktives Epithel.
Zusatzbefund
Das atrophe Parenchym grenzt an ein autonomes Adenom
Bilder Typ
Histologie
Vergrösserung
400
Alter
52
Geschlecht
unbekannt
Datum
Ersteintrag: 09.05.2002
CPS
·
©
2025 Institut für Pathologie Basel
/
Dr. med. Katharina Glatz-Krieger
.
·
v2.2