Wichtiger Sicherheitshinweis: Pathorama wurde zwischen dem 26. und 27. Dezember 2025 angegriffen. Falls Sie die Website in diesem Zeitraum besucht haben, lesen Sie bitte die wichtigen Informationen hier:
Zur Information

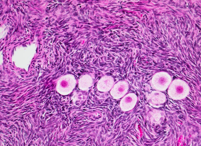
PathoPic – image database / PathoPic ID 4174 - Primordialfollikel in der Ovarrinde

de
Diagnose
Primordialfollikel in der Ovarrinde
Diagnose Gruppe
Normalbefund
Topographie
Ovar
Topographie Gruppe
Genitalorgane, weiblich
Beschreibung
Primordialfollikel umgeben von einer einzelnen Schicht flacher Follikelzellen (spätere Granulosazellen). Die Keimzellen sind eingebettet in ein zellreiches spindelförmiges kortikales Stroma.
Kommentar
Im Verlauf des Lebens geht ein Grossteil der Primordialfollikel zu Grunde ohne eine Narbe zu hinterlassen. Eine Minderheit entwickelt sich weiter und können in jedem Stadium der Entwicklung atresieren.
Bilder Typ
Histologie
Vergrösserung
200
Alter
30
Geschlecht
unbekannt
Datum
Ersteintrag: 04.03.2002
Update: 10.08.2010