Wichtiger Sicherheitshinweis: Pathorama wurde zwischen dem 26. und 27. Dezember 2025 angegriffen. Falls Sie die Website in diesem Zeitraum besucht haben, lesen Sie bitte die wichtigen Informationen hier:
Zur Information

Basel 3BA HS/ Pleomorphes Adenom der Speicheldrüse

Diagnose
Pleomorphes Adenom der Speicheldrüse
Diagnose Gruppe
benigner Tumor
Differenzialdiagnose
Topographie Gruppe
Kopf & Hals, Sinnesorgane
Topographie
Parotis
Einleitung
Makroskopie:
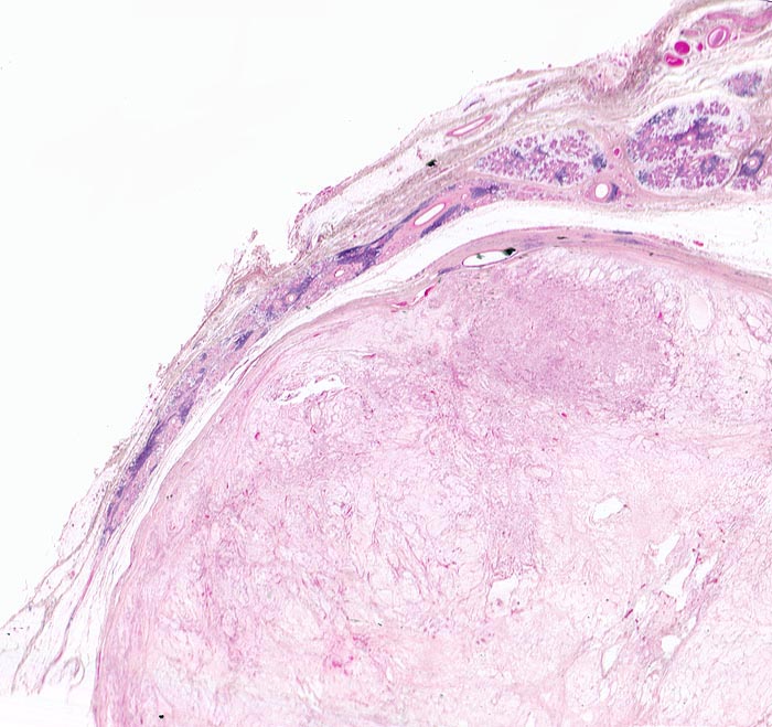
Makroskopisch sind pleomorphe Adenome scharf begrenzt. In den grossen Speicheldrüsen sind die meist solitär wachsenden Knoten von einer Kapsel umgeben, nicht aber in den kleinen Speicheldrüsen. Rezidivtumoren bilden oftmals multiple Knoten.

Lokalisation:
In 75% der Fälle tritt der Tumor in der Gl. parotis, zu 10% in der Gl. submandibularis und 10% in anderen kleineren Speicheldrüsen. Er kann auch in benachbarten Lymphknoten lokalisiert sein.

Mikroskopie und Histogenese:
Die architektonischen und zytologischen Befunde sind äusserst variabel. Pleomorphe Adenome bestehen aus einer duktalen epithelialen, einer myoepithelialen und einer mesenchymalen Komponente mit myxoider, hyaliner, chondroider oder ossärer Differenzierung. Der Prozentuale Anteil der verschiedenen Komponenten ist von Tumor zu Tumor sehr unterschiedlich. Gangstrukturen werden von einem einreihigen duktalen Epithel ausgekleidet. Das Gangepithel kann eine Plattenepithelmetaplasie mit Verhornung zeigen. Die Myoepithelzellen umgeben die epithelial ausgekleideten Gangstrukturen, bilden Nester, solide Zellplatten, Trabekel oder liegen einzeln im mesenchymalen Stroma. Die Morphologie der Myoepithelien ist sehr variabel (spindelig, plasmazytoid, epitheloid, sternförmig oder basaloid).
Histogenetisch handelt es sich wahrscheinlich um einen rein epithelialen Tumor, dessen mesenchymale Komponente von den neoplastischen Myoepithelzellen gebildet wird.

Molekularpathologie:
PLAG1 und HMGA2 Genrearrangements sind die häufigsten genetischen Aberrationen, die in pleomorphen Adenomen und Karziomen ex pleomorphen Adenomen nachgewiesen werden können zur diagnostischen Abgrenzung von morphologisch ähnlichen Speicheldrüsentumoren.

Anmerkung:
Beim Vorliegen von Satellitenherden kann der Pathologe nicht mit Sicherheit angeben, ob die Resektion im Gesunden erfolgte oder ob weitere Satellitenherde in situ verblieben sind. 

update 16. September 2021 
Klinik
Vorkommen:
Das pleomorphe Adenom ist der häufigsten Tumor der Speicheldrüsen (60% aller Speicheldrüsentumoren). Das Durchschnittsalter der Patienten beträgt 43 Jahre. 

Symptomatik:
Pleomorphe Adenome wachsen langsam und sind meist asymptomatisch. 

Therapie:
Der Tumor sollte vollständig entfernt werden. Eine Tumorenukleation (Ausschälung aus der Kapsel) stellt eine ungenügende Therapie dar und führt in 20-45% zu Rezidiven (Rezidivrate bei Parotidektomie lediglich 2-3%). 

Verlauf:
Die oft multinodulären Rezidive können Jahre nach Erstdiagnose auftreten. Langbestehende pleomorphe Adenome bzw. deren Rezidive können zu Karzinomen entarten (Karzinom ex pleomorphes Adenom). Das Durchschnittsalter der Karzinompatienten liegt 13 Jahre höher als bei den Adenomen. Das Lebenszeitrisiko für die Entartung eines pleomorphen Adenoms beträgt 3 – 10‍%. Histologisch findet sich in diesen Fällen eine Mischung von pleomorphem Adenom und Adenokarzinom. Das Karzinom kann nicht invasiv (innerhalb der Tumorkapsel) oder invasiv wachsen. Erstere weisen bei vollständiger Exzision eine gute Prognose auf, letztere zeigen ein 5 Jahres-Überleben von 25-65%. 
Morphologie
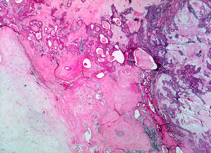
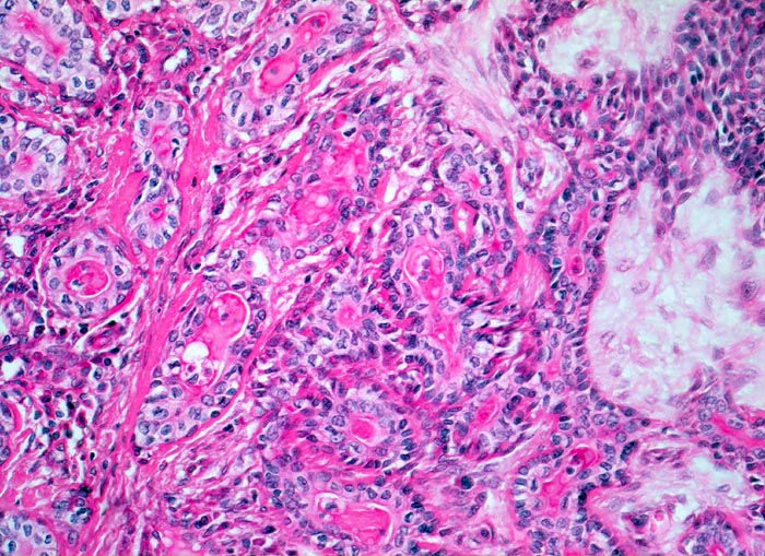
Morphologische Merkmale: 
  • Scharf begrenzter bekapselter Tumor bestehend aus epithelialen, myoepithelialen und mesenchymalen Anteilen. 
  • Das Epithel bildet duktale Strukturen, welche von reichlich Myoepithelien umgeben werden. 
  • Epitheiale Gänge werden ausgekleidet von kubischen luminalen Zellen und einer oder mehreren äusseren Schichten myoepithelialer Zellen. 
  • In den stromareichen Arealen rechts finden sich plasmazytoide Myoepithelzellen mit reichlich eosinophilem Zytoplasma und einem exzentrisch gelegenen runden Kern. 
  • Die stromale Komponente ist teils mukoid, teils hyalinknorplig, teils hyalinisiert bindegewebig. 
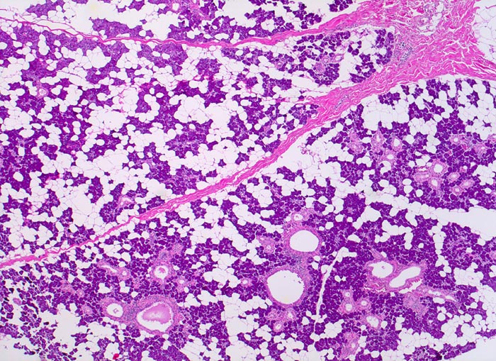
  • Oben im Präparat dem Tumor kappenförmig aufsitzende seromuköse Speicheldrüse (Glandula submandibularis). Das sollte der Kliniker dem Pathologen mitteilen: 
  • Primärtumor oder Rezidiv. 
Makroskopie
Befund
Pathologischer Befund
Normalbefund
Datum
Ersteintrag: 10.07.2019
Update: 16.09.2021