Wichtiger Sicherheitshinweis:
Pathorama wurde zwischen dem
26. und 27. Dezember 2025
angegriffen. Falls Sie die Website in diesem Zeitraum besucht haben, lesen Sie bitte die wichtigen Informationen hier:
Zur Information
Pathopic
HiPaKu
ZyPaKu
Projektinfos
PathoPic - Projekt- und Copyright-Info
About
Pathopic
HiPaKu
ZyPaKu
PathoPic – image database
/
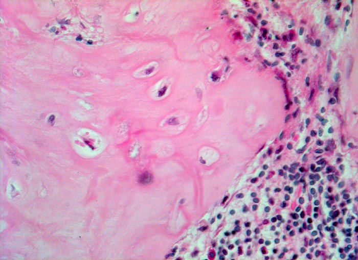
PathoPic ID 3421 - Pleomorphes Adenom der Speicheldrüse
de
Diagnose
Pleomorphes Adenom der Speicheldrüse
Diagnose Gruppe
benigner Tumor
Topographie
Parotis
Topographie Gruppe
Kopf & Hals, Sinnesorgane
Beschreibung
Mesenchymale chondroide Tumorkomponente umgeben von mononukleären Entzündungszellen.
Zusatzbefund
5cm grosser bekapselter Tumor in der linken Parotis.
Klinik
Schmerzlose Vergrösserung der Parotis.
Bilder Typ
Histologie
Vergrösserung
320
Alter
54
Geschlecht
unbekannt
Datum
Ersteintrag: 17.12.2001
Update: 21.12.2007
CPS
·
©
2025 Institut für Pathologie Basel
/
Dr. med. Katharina Glatz-Krieger
.
·
v2.2