Wichtiger Sicherheitshinweis: Pathorama wurde zwischen dem 26. und 27. Dezember 2025 angegriffen. Falls Sie die Website in diesem Zeitraum besucht haben, lesen Sie bitte die wichtigen Informationen hier:
Zur Information

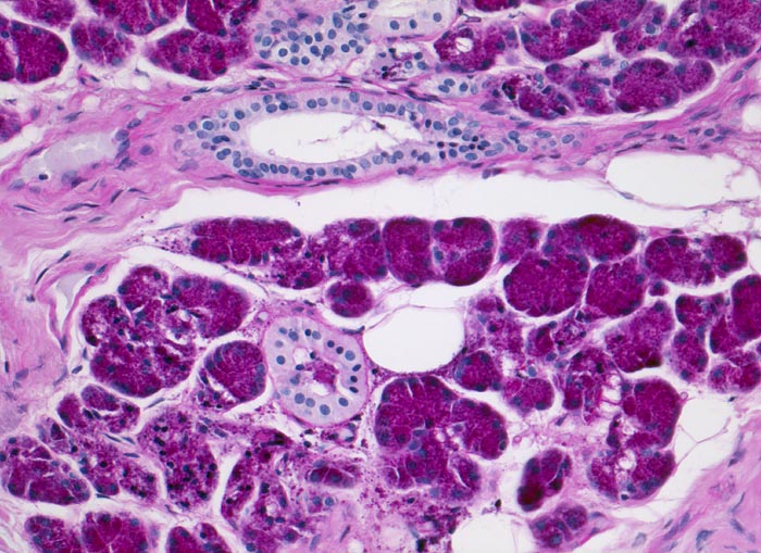
PathoPic – image database / PathoPic ID 3438 - Normale Glandula Parotis

de
Diagnose
Normale Glandula Parotis
Diagnose Gruppe
Normalbefund
Topographie
Parotis
Topographie Gruppe
Kopf & Hals, Sinnesorgane
Beschreibung
Die Acini der rein serösen Speicheldrüse bestehen aus einem Zelltyp mit feingranulärem PAS positivem Zytoplasma. Zwischen den Drüsenacini liegen Streifstücke mit suprabasal gelegenen Kernen. Im schmalen Bindegewebsseptum ein kleiner Ausführgang.
Bilder Typ
Histologie
Alter
42
Geschlecht
unbekannt
Datum
Ersteintrag: 17.12.2001
Update: 21.12.2007