Wichtiger Sicherheitshinweis: Pathorama wurde zwischen dem 26. und 27. Dezember 2025 angegriffen. Falls Sie die Website in diesem Zeitraum besucht haben, lesen Sie bitte die wichtigen Informationen hier:
Zur Information

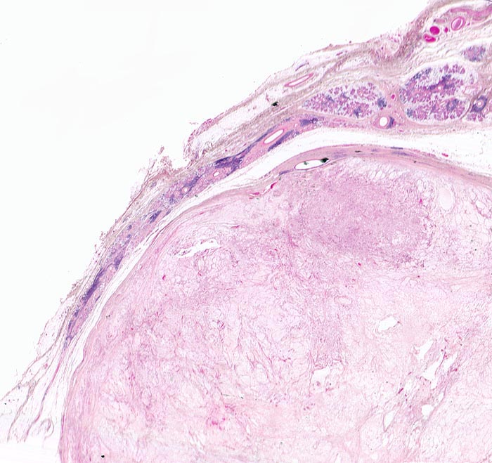
PathoPic – image database / PathoPic ID 3895 - Pleomorphes Adenom der Speicheldrüse

de
Diagnose
Pleomorphes Adenom der Speicheldrüse
Diagnose Gruppe
benigner Tumor
Topographie
Parotis
Topographie Gruppe
Kopf & Hals, Sinnesorgane
Beschreibung
Scharf begrenzter heller Tumor. In der Übersicht sticht vor allem die mesenchymale Tumorkomponente ins Auge. Oben im Bild angrenzend an den Tumor ist Speicheldrüsengewebe mit fleckigem Entzündungsinfiltrat erkennbar.
Zusatzbefund
5cm grosser bekapselter Tumor in der linken Parotis.
Klinik
Schmerzlose Vergrösserung der Parotis.
Bilder Typ
Histologie
Vergrösserung
Scan
Alter
54
Geschlecht
unbekannt
Datum
Ersteintrag: 28.09.2002
Update: 21.12.2007