Wichtiger Sicherheitshinweis: Pathorama wurde zwischen dem 26. und 27. Dezember 2025 angegriffen. Falls Sie die Website in diesem Zeitraum besucht haben, lesen Sie bitte die wichtigen Informationen hier:
Zur Information

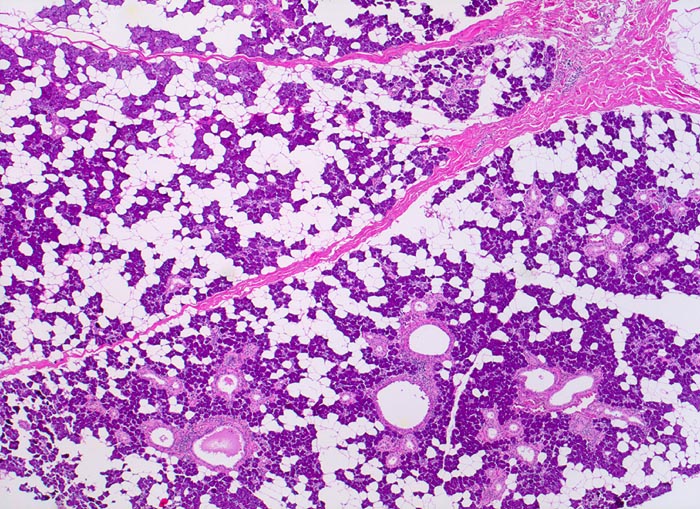
PathoPic – image database / PathoPic ID 3439 - Normale Glandula Parotis

de
Diagnose
Normale Glandula Parotis
Diagnose Gruppe
Normalbefund
Topographie
Parotis
Topographie Gruppe
Kopf & Hals, Sinnesorgane
Beschreibung
In reichlich Fettgewebe eingebettete violett gefärbte seröse Drüsenacini. Die sichtbaren Gänge entsprechen Streifstücken. Zwischen den einzelnen Läppchen verlaufen schmale Bindegewebssepten.
Bilder Typ
Histologie
Vergrösserung
25
Alter
42
Geschlecht
unbekannt
Datum
Ersteintrag: 17.12.2001
Update: 21.12.2007