Wichtiger Sicherheitshinweis: Pathorama wurde zwischen dem 26. und 27. Dezember 2025 angegriffen. Falls Sie die Website in diesem Zeitraum besucht haben, lesen Sie bitte die wichtigen Informationen hier:
Zur Information

Staats/ ATTR-Amyloidose des Myokards

Diagnose
ATTR-Amyloidose des Myokards
Diagnose Gruppe
Systemerkrankung/Immunpathologie
Differenzialdiagnose
Topographie Gruppe
Kardiovaskuläres System
Topographie
Herz rechts
Einleitung
Definition:
Amyloid ist eine pathologische Aggregation pathologisch gefalteter Proteine und Peptide, die meist extrazellulär abgelagert werden. Amyloid ist mit Kongorot anfärbbar und zeigt polarisationsoptisch eine abnormale Polarisationsfarbe (grünlich oder orangegelb). Amyloid besitzt eine fibrilläre Ultrastruktur (> 2041) (Fibrillen mit 8-10nm Durchmesser unterschiedlicher Länge). In der Röntgendiffraktion haben die Fibrillen eine Beta-Faltblatt Struktur. Bisher wurden über 30 verschiedene Proteine und Peptide identifiziert, die beim Menschen Amyloid bilden können. 

Nomenklatur:
Die Bezeichnung des Amyloids richtet sich nach dem abgelagerten Amyloidprotein und wird mit einem Buchstabencode verschlüsselt. Das Amyloid wird mit dem Anfangsbuchstaben "A" bezeichnet, dem ohne Leertaste die Abkürzung des Vorläuferproteins folgt. Beispiel: ATTR-Aymloidose steht für das Vorläuferprotein Transthyretin, das sowohl bei der familiären Amyloidneuropathie (mutiertes Transthyretin) als auch bei der senilen kardiovaskulären Amyloidose (Wildtyp Transthyretin) abgelagert wird. 

Morphologie und Diagnostik:
Amyloidablagerungen können bislang nur histologisch und elektronenmikroskopisch diagnostiziert werden. Kein klinischer, serologischer oder radiologischer Test ersetzt die histologische Untersuchung und die immunhistochemische Subtypisierung des abgelagerten Amyloidproteins. Bei Verdacht auf eine systemische Amyloidose werden die häufigsten potentiell systemisch auftretenden Amyloidproteine immunhistochemisch gefärbt (AA-, AL-, ATTR-Amyloid). 
Makroskopische Befunde: Bei ausgedehntem Befall wird das Gewebe steifer, wächserner, die Schnittfläche imponiert speckig und die Brüchigkeit ist erhöht. Ein Befall der weissen Milzpulpa führt zum Bild der Sagomilz, ein Befall der roten Pulpa zur Schinkenmilz. Eine Makroglossie, Organrupturen und Blutungen können ebenfalls auf eine Amyloidose hinweisen. Für den Nierenbefall typisch sind grosse, weisse Nieren mit bläulichem Unterton und gummiartiger Konsistenz.
Histologisch finden sich strukturlose azelluläre Ablagerungen, die in der Kongorotfärbung rot (> 10528), in der Doppelbrechung grün bis orange-gelb (> 9759) und in der van Gieson Färbung gelb (> 1078) (> 1063) zur Darstellung kommen. Sehr sensitiv aber weniger spezifisch ist der Nachweis von gelb-oranger Fluoreszenz der Ablagerungen im Fluoreszenzmikroskop. Bindegewebe oder Narbengewebe hat im Gegensatz zu Amyloid eine fibrilläre Struktur, färbt sich mit Kongorot nicht an, erscheint in der Doppelbrechung weiss und zeigt keine Autofluoreszenz. Gelegentlich finden sich Makrophagen oder mehrkernige Riesenzellen neben oder innerhalb der Ablagerungen. Die Typisierung des Amyloids gelingt immunhistochemisch mit spezifischen Antikörpern gegen die verschiedenen Amyloid-Vorläuferproteine (> 2031). Die Typisierung gibt einen Hinweis auf die assoziierte Grunderkrankung und die klinische Relevanz der Ablagerungen.

Lokalisation:
Amyloid kann in jedem Organ oder Gewebstyp gebildet und abgelagert werden. Es werden lokale oder Organ-limitierte (Bsp. lokale AL Amyloidose, Samenblasenamyloid, Hornhautamyloid, zerebrale A?-Amyloidangiopathie...) von den systemischen, mehrere Organe betreffenden Formen unterschieden (am häufigsten AA, AL und ATTR). Das Organ-Verteilungsmuster ist abhängig vom Typ des Amyloidproteins. In der Niere überwiegen AL- und AA-, im Herz AL- und ATTR- (zusammen 97% aller Myokardamyloidosen), und im Gastrointestinaltrakt AL-Amyloidablagerungen. ATTR-Amyloid findet sich gelegentlich als Zufallsbefund in Biopsien des Stützapparats. In solchen Fällen muss an die Möglichkeit eines gleichzeitigen Befalls des Myokards oder der Gefässe gedacht werden. Lokale Amyloidablagerungen finden sich auch assoziiert mit verschiedenen Tumoren Bsp. Hypophysenadenom, medulläres Schilddrüsenkarzinom, gastroenteropankreatische endokrine Tumoren (> 1498), Phäochromozytom, Basaliom. Von Immunglobulin Leichtketten abgeleitetes AL Amyloid kann in verschiedenen Organen lokal abgelagert werden und als Tumor imponieren (Bsp. Larynx (> 4272) (> 4271)). 

Lokalisation in der Niere:
In der Niere kann Amyloid glomerulär (> 2008), vaskulär (> 2029) und/oder tubulointerstitiell (> 2028) abgelagert werden. 

update 30. August 2016 
Klinik
Vorkommen:
Amyloidablagerungen kommen bei beiden Geschlechtern und in allen Altersgruppen vor. Jenseits des 85. Altersjahres findet sich seniles Amyloid bei jedem Individuum. Männer sind häufiger betroffen. Hereditäre Amyloidosen kommen lokal gehäuft vor z.B. in Portugal mit einer Prävalenz von bis zu 1:1000. 

Symptomatik:
Die Symptomatik hängt ab von der Verteilung und der Menge der Ablagerungen. Die verschiedenen Amyloidosen weisen eine sehr variable oft unspezifische Klinik auf und können leicht übersehen werden. Nicht selten wird Amyloid ohne vorausgehenden klinischen Verdacht erstmals vom Pathologen diagnostiziert. Folgende (unspezifische) Symptome können auf eine Amyloidose hinweisen: Proteinurie, Nephrotisches Syndrom, Niereninsuffizienz, Karpaltunnelsyndrom, sensomotorische und autonome Neuropathie, Herzinsuffizienz, Arrhythmien, Hepatosplenomegalie, Diarrhoe, Ileus, Infarkte, Makroglossie, Malabsorption, Ulzera, Lymphadenopathie, Hämatome, makulopapulöse Hauteffloreszenzen oder Purpura. Zeichen einer Nierenerkrankung (Proteinurie) bei einem Patienten mit einer chronischen infektiösen oder nicht infektiösen Entzündung sollten an die Möglichkeit einer AA-Amyloidose denken lassen. Bei Patienten mit einer Plasmazellerkrankung muss bei entsprechenden Symptomen an die Möglichkeit einer AL-Amyloidose gedacht werden. 
Symptomatik bei kardialer Amyloidose: Die Ablagerung von Amyloidprotein um die Muskelfasern des Myokards verursacht eine Versteifung der Herzmuskulatur (restriktive Kardiomyopathie) und eine Herzinsuffizienz bei grösseren Mengen von abgelagertem Amyloidprotein. Durch die Ablagerungen sind die Herzwände verdickt. Häufig ist im EKG die Höhe der QRS-Komplexe vermindert (Niedervoltage). Wenn das Erregungsleitungssystem des Herzens betroffen ist, können Herzrhythmusstörungen auftreten. Der Befall der Herzkranzgefäße kann Ischämien verursachen.

Diagnostik:
Bei einer infiltrativ restriktiven Kardiomyopathie, einem nephrotischen Syndrom, einer Malabsorption oder einer autonomen Neuropathie an die mögliche Differentialdiagnose einer Amyloidose zu denken, ist das Entscheidende. Das Herz-MRI zeigt bei myokardialer Amyloidose typische Veränderungen. Die definitive Diagnose einer Amyloidose kann aber nur morphologisch (Biopsie oder Zytologie) gesichert werden (diagnostischer Goldstandard). Eine Nierenbiopsie besonders bei Patienten mit Proteinurie bietet die höchste diagnostische Ausbeute. Anstelle der Nierenbiopsie kann bei klinischem Verdacht auf eine Amyloidose entweder eine Aspiration von subkutanem Fettgewebe durchgeführt werden (60% der AA-Amyloidosen positiv, negativ bei familiärem Mittelmeerfieber) oder eine tiefe Rektumbiopsie (muss Submukosa enthalten, 80-85% positiv). Beide Untersuchungen zusammen ergeben in bis zu 90% der Fälle ein positives Resultat. Bei negativem Befund sollte dasjenige klinisch symptomatische Organ biopsiert werden, das das geringste Risiko einer punktionsassoziierten Komplikation aufweist. Die Diagnose der Leichtkettenamyloidose beruht auf der histologischen Untersuchung der betroffenen Organe. Da die Amyloidablagerungen in der HE Färbung (> 522) sehr diskret sein können, muss bei Biopsien mit Frage nach Amyloidose die Verdachtsdiagnose unbedingt auf dem Anmeldeformular vermerkt werden. Bei dieser klinischen Fragestellung wird vom Labor zusätzlich eine Kongorotfärbung angefertigt. Bei Verdacht auf Nierenamyloidose sollte eine Untersuchung mit intravenös applizierten Kontrastmitteln unterbleiben, da ein Nierenversagen ausgelöst werden kann. 

Therapie:
Die Therapie ist je nach Amyloidsubtyp sehr unterschiedlich. Bei einer AA-Amyloidose wird die Grunderkrankung (chronische Infektion, rheumatoide Arthritis, chronisch entzündliche Darmerkrankung, familiäres Mittelmeerfieber...) behandelt. Eine systemische AL-Amyloidose kann mit Hochdosis-Chemotherapie und autologer Stammzelltransplantation der verursachenden Plasmazellneoplasie behandelt werden. Eine Lebertransplantation oder kombinierte Leber-Nierentransplantation wird nach molekularbiologischer Sicherung der zu Grunde liegenden Mutation bei bestimmten Formen hereditärer Amyloidosen durchgeführt. Bei immunhistochemischem Nachweis von ATTR-Amyloid im Myokard empfiehlt sich die Erhebung einer detaillierten Anamnese bezüglich kardialer Erkrankungen in der Familie, Polyneuropathie, Karpaltunnelsyndrom, Niereninsuffizienz und Glaskörpertrübung sowie eine Mutationsanalyse des Transthyretin-Gens durch die Humangenetik. Eine Keimbahnmutation des Transthyretin-Gens ist bei rund 26% der Patienten mit symptomatischer kardialer ATTR-Amyloidose zu erwarten. Die hereditäre Form der ATTR-Amyloidose kann auch in höherem Alter auftreten (late onset). Eine Abgrenzung von der viel häufigeren nicht-hereditären senilen kardiovaskulären Amyloidose anhand des Patientenalters ist deshalb nicht möglich. Zur spezifischen Therapie der ATTR-Amyloidose sind Tafamidis (stabilisiert das Protein, bevor es fehlgefaltet werden kann) und Patisiran (blockiert Proteinsynthese in der Leber) zugelassen. Je früher mit der Therapie begonnen wird, desto günstiger ist der Verlauf. 


Prognose:
Die klinische Bedeutung von Amyloidablagerungen kann unbedeutend oder lebensbedrohlich sein. Die Prognose wird durch Art und Ausmass des Zielorganbefalls bestimmt. Entsprechend sollte der Kliniker bei Nachweis von Amyloid in einer Biopsie dessen klinische Relevanz weiter abklären. Insbesondere sollte die Frage geklärt werden, ob es sich um eine lokalisierte oder um eine systemische Erkrankung handelt. Bei histologischem Nachweis von Amyloid in Fettgewebsaspiraten, Biopsien des Gastrointestinaltrakts, peripheren Nerven, Endomyokardbiopsien aus dem rechten Ventrikel oder Biopsien aus parenchymatösen Organen (Niere, Leber, Lunge, Milz) muss klinisch nach einer systemischen Amyloidose gesucht werden. Etwa 10% der Patienten mit Plasmazellmyelom entwickeln eine Amyloidose. Aufgrund einer meist schweren kardialen Beteiligung ist die Prognose bei der AL-Amyloidose schlecht. Die Entwicklung einer Herzinsuffizienz bei mindestens 25% der Patienten resultiert bei einer systemischen AL-Amyloidose in einem medianen Überleben ohne Behandlung von nur 13 Monaten. Eine frühzeitige Diagnose ist für eine erfolgreiche medikamentöse Therapie wichtig.

update 16. September 2022 
Morphologie
Morphologische Merkmale: 
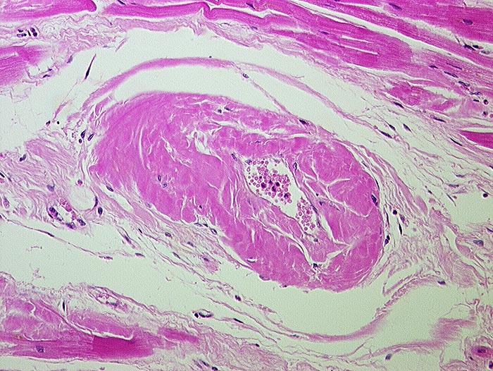
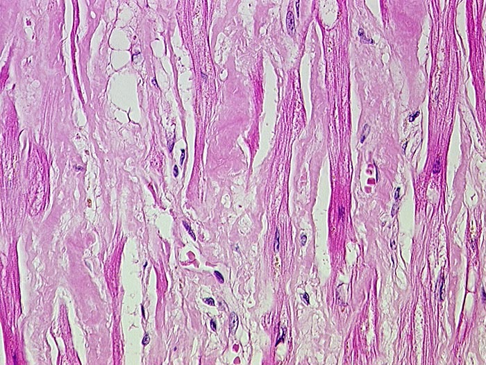
  • Homogene, zellfreie, extrazelluläre, netzförmige perizelluläre Ablagerungen von kongorotem (2. Präparatlink) Material (abnorme Doppelbrechungsfarbe bei Polarisation: flaschengrün, orange oder gelb statt weiss) im Myokard. 
  • Das abgelagerte Amyloidprotein entspricht immunhistochemisch ATTR-Amyloid (3. Präparatlink). Das abgelagerte Protein färbt sich mit einem Antikörper gegen Transthyretin braunrot an. Das sollte der Kliniker dem Pathologen mitteilen: 
  • Klinischer Verdacht auf Amyloidose. 
  • Grunderkrankung: chronische entzündliche Erkrankung (AA Amyloidose), Plasmazellerkrankung (z.B. Plasmazellmyelom, monoklonale Gammopathie, M. Waldenström). 
  • Hinweise auf systemische Amyloidose: Herzinsuffizienz, Hepatomegalie, CTS, autonome Neuropathie, Nephrotisches Syndrom, pathologische Serum- oder Urinimmunelektrophorese). Praxis-Tipp: 
  • Zur Beschleunigung der Diagnostik den klinischen Verdacht auf eine Amyloidose auf dem Anmeldezettel vermerken (Kongorotfärbung wird in diesem Fall vom Labor automatisch durchgeführt). 
  • Bei Verdacht auf systemische Amyloidose: Zuerst Fettgewebsaspiration. Bei fehlendem Nachweis von Amyloid im Fettgewebsaspirat Rektumbiopsie mit Submukosa oder Biopsie eines betroffenen Organs. 

update 30. August 2016 
Makroskopie
Befund
Pathologischer Befund
Normalbefund
Datum
Ersteintrag: 10.07.2019
Update: 26.07.2022