Wichtiger Sicherheitshinweis: Pathorama wurde zwischen dem 26. und 27. Dezember 2025 angegriffen. Falls Sie die Website in diesem Zeitraum besucht haben, lesen Sie bitte die wichtigen Informationen hier:
Zur Information

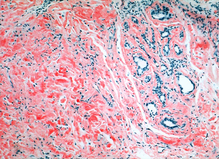
PathoPic – image database / PathoPic ID 4272 - Lokalisierte Amyloidose

de
Diagnose
Lokalisierte Amyloidose
Topographie
Larynx
Topographie Gruppe
Kopf & Hals, Sinnesorgane
Beschreibung
Massenhaft kongorote Amyloidablagerungen im Stroma.
Zusatzbefund
Immunhistochemisch AL-Amyloid
Klinik
V. a. supraglottisches Larynx-Ca rechts.
Kommentar
Bei der laryngealen Amyloidose handelt es sich oftmals um eine lokalisierte Erkrankung ohne Systembeteiligung. Sie kann zu heiserer Stimme oder Dyspnoe führen. Meist handelt es sich wie im vorliegenden Fall um AL-Amyloid. Nach einer Systembeteiligung sollte klinisch gesucht werden.
Literatur: Surg. Management of localized amyloidosis: Laryngoscope ( 2000), Kennedy at al., 110: 918-23.
Bilder Typ
Histologie
Vergrösserung
100
Alter
62
Geschlecht
unbekannt
Datum
Ersteintrag: 05.04.2002
Update: 21.12.2007