Wichtiger Sicherheitshinweis:
Pathorama wurde zwischen dem
26. und 27. Dezember 2025
angegriffen. Falls Sie die Website in diesem Zeitraum besucht haben, lesen Sie bitte die wichtigen Informationen hier:
Zur Information
Pathopic
HiPaKu
ZyPaKu
Projektinfos
PathoPic - Projekt- und Copyright-Info
About
Pathopic
HiPaKu
ZyPaKu
PathoPic – image database
/
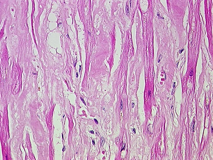
PathoPic ID 532 - AL-Amyloidose
de
Diagnose
AL-Amyloidose
Diagnose Gruppe
Systemerkrankung/Immunpathologie
Topographie
Herz
Topographie Gruppe
Kardiovaskuläres System
Beschreibung
Interstitielle azelluläre Amyloidablagerungen.
Klinik
Monoklonale Plasmazelldyskrasie IgG-lambda seit 9 Monaten.
Bilder Typ
Histologie
Alter
67
Geschlecht
männlich
Datum
Ersteintrag: 14.11.2001
CPS
·
©
2025 Institut für Pathologie Basel
/
Dr. med. Katharina Glatz-Krieger
.
·
v2.2