Wichtiger Sicherheitshinweis: Pathorama wurde zwischen dem 26. und 27. Dezember 2025 angegriffen. Falls Sie die Website in diesem Zeitraum besucht haben, lesen Sie bitte die wichtigen Informationen hier:
Zur Information

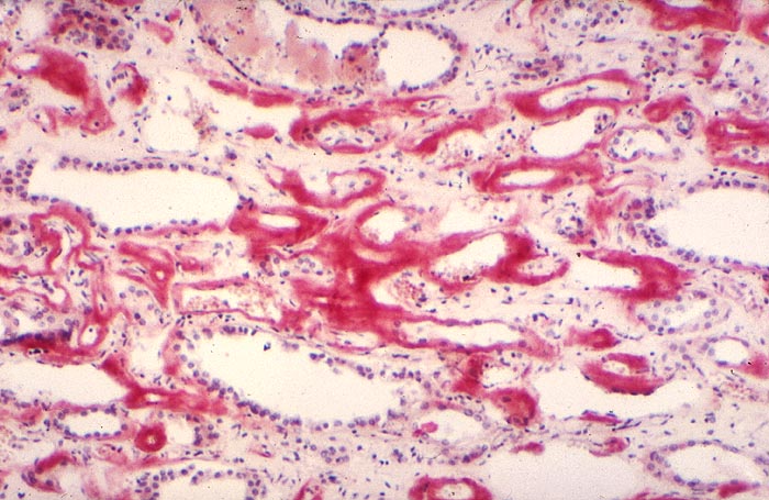
PathoPic – image database / PathoPic ID 2028 - Amyloidose

de
Diagnose
Amyloidose
Diagnose Gruppe
Systemerkrankung/Immunpathologie
Topographie
Niere
Topographie Gruppe
Niere, Harnwege
Beschreibung
Massive Amyloidablagerungen entlang tubulärer Basalmembranen und peritubulärer Kapillaren.
Kommentar
Tubulointerstitielle Amyloidose: teils kleinherdige, teils diffuse Ablagerungen entlang der tubulären Basalmembranen, besonders von Henle'Schleifen und Sammelrohren. Daneben auch im Interstitium und entlang peritubulärer Kapillaren und der Vasa recta.
Bilder Typ
Histologie
Geschlecht
weiblich
Datum
Ersteintrag: 05.02.2002