Wichtiger Sicherheitshinweis: Pathorama wurde zwischen dem 26. und 27. Dezember 2025 angegriffen. Falls Sie die Website in diesem Zeitraum besucht haben, lesen Sie bitte die wichtigen Informationen hier:
Zur Information

Staats/ Glioblastoma multiforme (WHO Grad IV)

Diagnose
Glioblastoma multiforme (WHO Grad IV)
Diagnose Gruppe
maligner Tumor
Differenzialdiagnose
Topographie Gruppe
Nervensystem
Topographie
Hirn temporal
Einleitung
Histogenese:
Das Glioblastoma multiforme (WHO Grad IV) ist der bösartigste und mit 50-60% auch der häufigste astrozytäre Tumor.

Lokalisation:
Bevorzugte Lokalisationen sind das Marklager des Frontal- und Temporallappens. Glioblastome des Hirnstammes sind selten und betreffen meist Kinder. Von dort breiten sie sich oft über den Balken schmetterlingsförmig auf die Gegenseite aus. Weniger als 5% der Tumoren wachsen multizentrisch. Eine Aussaat in den Subarachnoidalraum mit Metastasierung über den Liquor findet sich selten. Noch rarer sind hämatogene Metastasen in extraneurale Organe.

Morphologie:
Die Schnittfläche ist auffallend bunt. Dies ist bedingt durch ein Nebeneinander von graurotem vitalem Tumorgewebe, gelben Nekrosen, roten Einblutungen und gelegentlich grünlichen Gallertzysten.
Ein Glioblastom liegt vor, wenn mindestens 3 der folgenden 4 histologischen Kriterien erfüllt sind: Kernatypien (Hyperchromasie und/oder Form- und Grössenvariabilität), Mitosen, Endothelproliferation (Gefässlumina von mehr als einer Lage Endothelzellen umgeben) und flächenhafte oder girlandenartig angeordnete Nekrosen. Ein Teil der Glioblastome entwickelt sich sekundär aus diffusen Astrozytomen Grad II. Bei den übrigen handelt es sich um sogenannt "de novo" entstandene Glioblastome.

Anmerkung:
Die histologische Abgrenzung eines anaplastischen Oligoastrozytoms (ein Teil dieser Tumoren sprechen auf Chemotherapie an) von einem Glioblastoma multiforme ist aus therapeutischer Hinsicht wichtig, kann aber sehr schwierig sein und erfordert deshalb die Beurteilung durch einen Neuropathologen.
Klinik
Vorkommen:
Die Inzidenz liegt bei 2-3 Fällen pro 100'000 Einwohner pro Jahr. Das mittlere Erkrankungsalter beträgt 53 Jahre. Männer sind 1.5 mal häufiger betroffen als Frauen.

Symptomatik:
Ausser bei sekundären Glioblastomen, die sich aus einer höher differenzierten Vorstufe entwickelt haben, dauert die Symptomatik bei mehr als 50% der Patienten weniger als 3 Monate. Epileptische Anfälle, Kopfschmerzen, unspezifische neurologische Symptome wie zunehmende motorische Schwäche oder Persönlichkeitsveränderungen und vor allem rasch zunehmende Hirndruckzeichen sind typische Manifestationen. Schon kleine Tumoren können ein beträchtliches perifokales Ödem mit Hirndrucksymptomatik verursachen.

Diagnostik:
Das MRI mit Kontrastmittel ist die radiologische Untersuchungsmethode der Wahl. Im CT zeigt sich eine zentrale dunkle Nekrosezone umgeben von einer ringförmigen Kontrastmittelanreicherung entsprechend der stark vaskularisierten vitalen Peripherie des Tumors. Der Ring zeigt aber nicht die Grenze des Tumors an. Tumorzellen findet man auch noch bis zu 2cm ausserhalb dieser Zone.

Therapie:
Die Therapie ist palliativ und umfasst Chirurgie, Bestrahlung und Chemotherapie.

Prognose:
Die Patienten überleben im Mittel weniger als ein Jahr. Nur gerade 1.8% der behandelten Patienten leben noch nach 3 Jahren.
Normalbefund
Morphologie
Morphologische Merkmale:
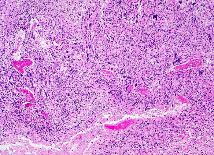
  • Zellreicher Tumor mit sehr unscharfer Begrenzung zum normalen Hirnparenchym (rechts unten).
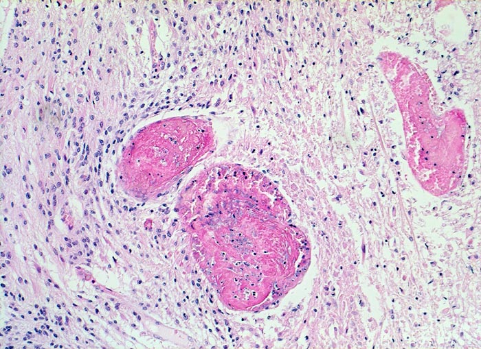
  • Typische streifenförmige Nekrosen mit randständiger Palisadierung der Tumorzellen.
  • Im Zentrum der Nekrose thrombosierte Gefässe umgeben von einem Saum vitaler Tumorzellen.
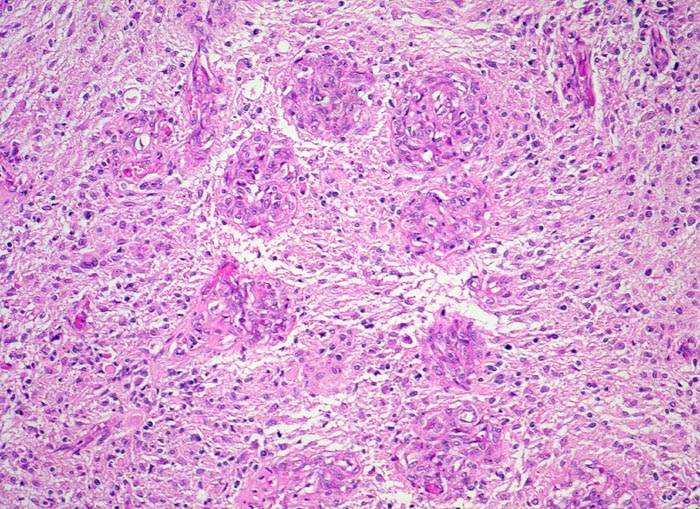
  • Pathologische glomerulumartige zellreiche Gefässknäuel.
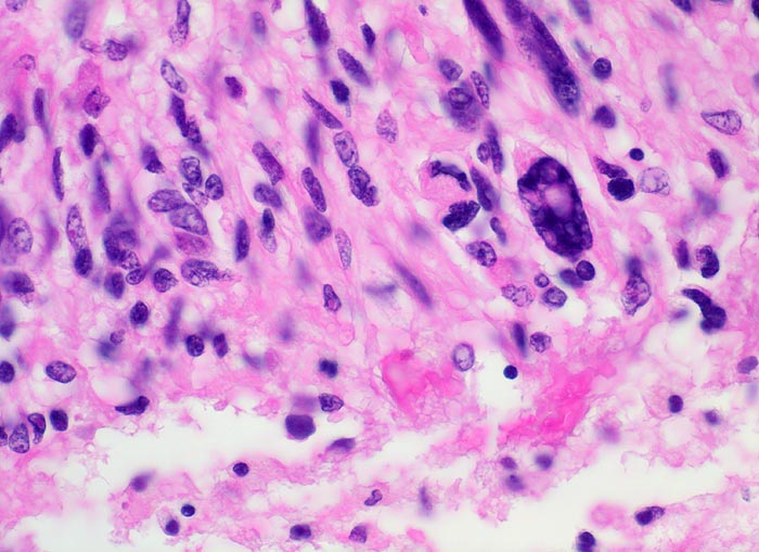
  • Ausgeprägte Zellpolymorphie und Atypie.
  • Mitosen.
Das sollte der Kliniker dem Pathologen mitteilen:
  • Radiologischer Befund.
  • Diagnose eines niedriggradigeren glialen Tumors in der Vorgeschichte.
  • Therapie.
Makroskopie
Virtuelles Präparat
Befund
Pathologischer Befund
Normalbefund
Datum
Ersteintrag: 10.10.2008
Update: 10.10.2008