Wichtiger Sicherheitshinweis:
Pathorama wurde zwischen dem
26. und 27. Dezember 2025
angegriffen. Falls Sie die Website in diesem Zeitraum besucht haben, lesen Sie bitte die wichtigen Informationen hier:
Zur Information
Pathopic
HiPaKu
ZyPaKu
Projektinfos
PathoPic - Projekt- und Copyright-Info
About
Pathopic
HiPaKu
ZyPaKu
PathoPic – image database
/
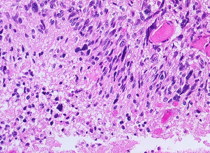
PathoPic ID 5200 - Glioblastoma multiforme (WHO IV)
de
Diagnose
Glioblastoma multiforme (WHO IV)
Diagnose Gruppe
maligner Tumor
Topographie
Hirn temporal
Topographie Gruppe
Nervensystem
Beschreibung
Parallele Ausrichtung der Tumorzellen zueinander und senkrecht zur Tumornekrose links unten im Bild.
Klinik
Seit zwei Monaten zunehmende Persönlichkeitsveränderungen, Kopfschmerzen und progrediente fokal neurologische Zeichen.
Bilder Typ
Histologie
Vergrösserung
200
Alter
52
Geschlecht
unbekannt
Datum
Ersteintrag: 23.07.2002
CPS
·
©
2025 Institut für Pathologie Basel
/
Dr. med. Katharina Glatz-Krieger
.
·
v2.2