Wichtiger Sicherheitshinweis:
Pathorama wurde zwischen dem
26. und 27. Dezember 2025
angegriffen. Falls Sie die Website in diesem Zeitraum besucht haben, lesen Sie bitte die wichtigen Informationen hier:
Zur Information
Pathopic
HiPaKu
ZyPaKu
Projektinfos
PathoPic - Projekt- und Copyright-Info
About
Pathopic
HiPaKu
ZyPaKu
PathoPic – image database
/
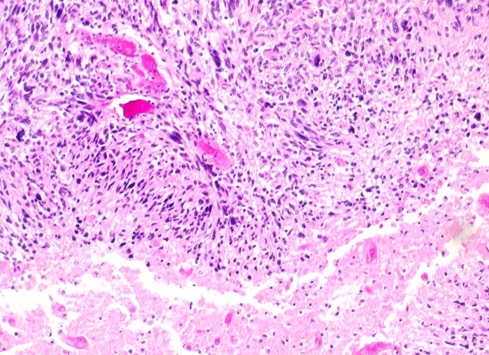
PathoPic ID 5199 - Glioblastoma multiforme (WHO IV)
de
Diagnose
Glioblastoma multiforme (WHO IV)
Diagnose Gruppe
maligner Tumor
Topographie
Hirn temporal
Topographie Gruppe
Nervensystem
Beschreibung
Parallele Ausrichtung der Tumorzellen (
Palisadierung) angrenzend an die
Tumornekrose
Klinik
Seit zwei Monaten zunehmende Persönlichkeitsveränderungen, Kopfschmerzen und progrediente fokal neurologische Zeichen.
Bilder Typ
Histologie
Vergrösserung
100
Alter
52
Geschlecht
unbekannt
Datum
Ersteintrag: 23.07.2002
CPS
·
©
2025 Institut für Pathologie Basel
/
Dr. med. Katharina Glatz-Krieger
.
·
v2.2