Wichtiger Sicherheitshinweis: Pathorama wurde zwischen dem 26. und 27. Dezember 2025 angegriffen. Falls Sie die Website in diesem Zeitraum besucht haben, lesen Sie bitte die wichtigen Informationen hier:
Zur Information

Staats/ Chronische Hepatitis C

Diagnose
Chronische Hepatitis C
Diagnose Gruppe
Entzündung infektiös
Differenzialdiagnose
Topographie Gruppe
Leber, Gallenwege, Pankreas
Topographie
Leber
Einleitung
Aetiologie:
Das HCV Virus ist ein RNA Virus, welches zur Familie der Flaviviren (Hepatitis G, Flavivirus, Dengue Fieber) gehört. Es gibt 6 verschiedene Genotypen. In Westeuropa sind die Genotypen 1a und 1b am häufigsten gefolgt von 2 und 3. 
 
Morphologie:
Die meisten chronischen Infektionen mit dem Hepatitis C Virus führen zu einer Hepatitis mit begleitender Fibrose. Für die Gradierung der portalen und intralobulären Entzündungsaktivität und das Staging der Fibrose sind in verschiedenen Kliniken unterschiedliche Klassifikationen gebräuchlich. In der Schweiz wird bevorzugt die Metavir Einteilung verwendet. 
 
Komplikationen:
15 bis 20% der chronisch infizierten Patienten entwickeln eine Leberzirrhose und 1 bis 4% ein hepatozelluläres Karzinom. 

Update 2. September 2020

Klinik
Vorkommen:
Weltweit sind etwa fünfmal mehr Menschen (rund 170 Millionen) mit dem Hepatitis C Virus infiziert als mit HIV-1. In der Schweiz sind schätzungsweise 50 000–70 000 Personen (0,7–1% der Bevölkerung) mit HCV infiziert, d.h. etwa dreimal mehr als mit HIV. 
Die Infektion erfolgte bis 1990 über Bluttransfusionen. Neuinfektionen treten heute vor allem bei i.v. Drogenabusus auf (etwa zwei Drittel). Das Risiko für eine vertikale Übertragung von der Mutter auf das Kind während der Geburt beträgt ca. 5%. Die Übertragung beim Geschlechtsverkehr kommt fast ausschliesslich beim Analverkehr (Mukosaverletzung) HIV infizierter Männer vor, die Sex mit Männern haben. Die Übertragungsrate nach Nadelstichverletzung beträgt ungefähr 30% bei Hepatitis B, 3% bei Hepatitis C und 0.3% bei HIV-1. 
 
Symptomatik:
Die Hepatitis C Infektion wird selten im akuten Stadium diagnostiziert. Die meisten Patienten haben keine oder nur leichte Symptome wie Ikterus, Unwohlsein und Müdigkeit meist 7 bis 8 Wochen nach Ansteckung. Über 70% der Infizierten entwickeln eine länger als 6 Monate dauernde (=chronische) Hepatitis C. Die Hepatitis B verläuft dagegen in weniger als 10% der Fälle chronisch. Patienten mit chronischer Infektion klagen über unspezifische Symptome wie Müdigkeit mit teilweise deutlich eingeschränkter Lebensqualität. Als extrahepatische Manifestationen möglich sind eine gemischte Kryoglobulinämie, eine membranoproliferative Glomerulonephritis, ein Lichen planus, ein Sicca Syndrom oder eine Porphyria cutanea tarda. 
 
Verlauf:
Der zeitliche Ablauf der Leberschädigung ist äusserst variabel. Ein Drittel der Patienten entwickelt innert 20 Jahren ernste Komplikationen, ein weiteres Drittel zeigt auch nach 30 Jahren keine Progression der Fibrose. Das Risiko für die Entwicklung eines hepatozellulären Karzinoms in einer etablierten Zirrhose liegt bei 1 bis 4% pro Jahr. Risikofaktoren für eine klinische Progression sind Alkoholkonsum, Koinfektion mit HIV-1 oder HBV, männliches Geschlecht, höheres Alter bei Infektion. 
 
Diagnostik:
Ein positiver HCV-AK-Test beweist noch nicht das Vorliegen einer Hepatitis C. Es wird empfohlen zur Diagnosesicherung den Genomnachweis (HCV-RNA) mittels PCR anzustreben. Man unterscheidet 6 HCV-Genotypen, deren Häufigkeitsverteilung von Land zu Land unterschiedlich ist. Die Genotyp-Bestimmung ist indiziert, wenn eine antivirale Therapie erwogen wird, da Therapiedauer und -ansprechen stark vom Genotyp abhängen. Die histologische Evaluation einer Leberbiopsie stellt den Goldstandard für die Beurteilung der Entzündungsaktivität dar. Das histologische Staging (=Fibrosegrad) ist der verlässlichste Parameter zur Abschätzung der Prognose. Sie entscheidet auch über die Therapieindikation. In der Regel wird vor Therapiebeginn eine Biopsie durchgeführt für Grading und Staging und zum Ausschluss einer zusätzlichen Leberpathologie. 
 
Therapie:
Bei der Hepatitis C ist mit einer zeitlich begrenzten Therapie eine Heilung (anhaltende Viruselimination) möglich, die ein Fortschreiten zur Leberzirrhose bzw. zum hepatozellulären Karzinom verhindert und die Infektiosität beendet. Die neuen Hepatitis-C-Therapien sind kürzer und effizienter als die frühere Kombination von Interferon und Ribavirin und haben weniger Nebenwirkungen. Verschiedene sogenannte Direct-Acting Antiviral Agents (DAAs) wirken direkt auf den Lebenszyklus des Hepatitis-C-Virus. Diese Medikamente hemmen verschiedene virale Eiweisse (Protease, Polymerase oder das NS5A-Eiweiss) und verhindern, dass sich die Viren in der Leberzelle vermehren und andere Zellen angreifen können. Dank der neuen Medikamente können mehr als 90 Prozent der Patienten mit Hepatitis C geheilt werden.

Update 2. September 2020

Morphologie
Morphologische Merkmale: 
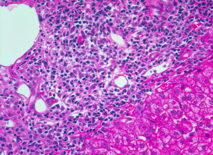
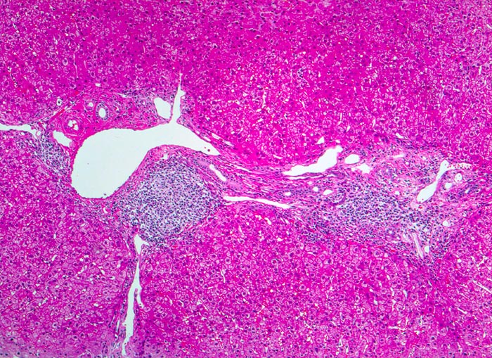
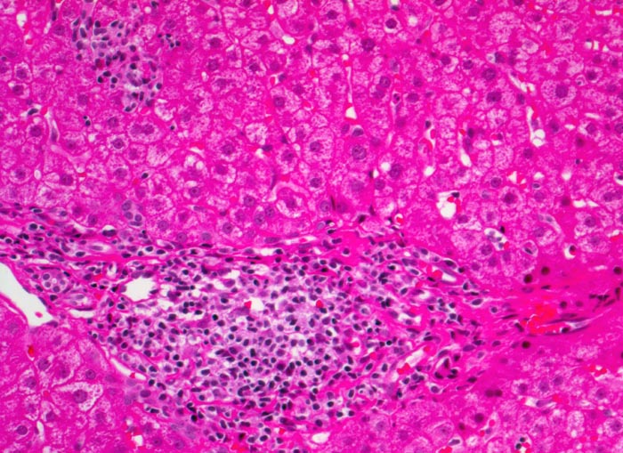
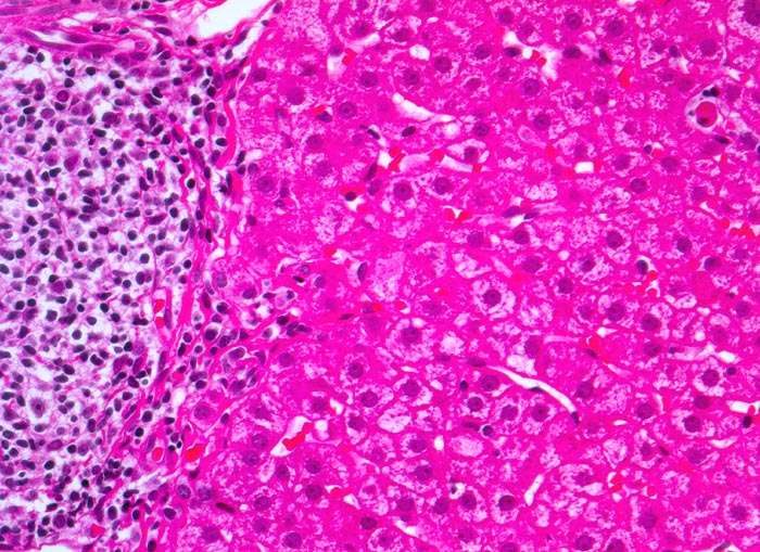
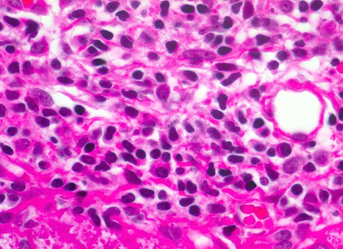
  • Dichte mononukleäre portale und lobuläre Entzündungsinfiltrate mit Ausbildung von Lymphfollikeln in den Portalfeldern. 
  • Übergreifen der Entzündung auf das Parenchym (=Interface oder Grenzzonenhepatitis). 
  • Abgerundete hypereosinophile apoptotische Hepatozyten (Councilman-Körperchen). 
  • Geringe Portalfeldfibrose. Das sollte der Kliniker dem Pathologen mitteilen: 
  • Hepatitisserologie. 
  • Leberwerte. 
  • Zusätzliche Leberpathologie. 
  • Lebernoxen. Praxis-Tipp: 
  • Das Vorliegen einer Hepatitis C muss auf der Autopsieanmeldung vermerkt werden, damit für die Sektion entsprechende Sicherheitsvorkehrungen getroffen werden können. 
Makroskopie
Befund
Pathologischer Befund
Normalbefund
Datum
Ersteintrag: 17.11.2018
Update: 16.09.2021