Wichtiger Sicherheitshinweis: Pathorama wurde zwischen dem 26. und 27. Dezember 2025 angegriffen. Falls Sie die Website in diesem Zeitraum besucht haben, lesen Sie bitte die wichtigen Informationen hier:
Zur Information

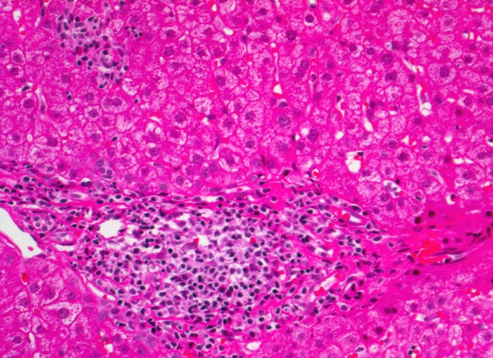
PathoPic – image database / PathoPic ID 4966 - chronische Hepatitis C mit geringgradiger Aktivität

de
Diagnose
chronische Hepatitis C mit geringgradiger Aktivität
Diagnose Gruppe
Entzündung infektiös
Topographie
Leber
Topographie Gruppe
Leber, Gallenwege, Pankreas
Beschreibung
Portalfeld mit starker Vermehrung mononukleärer Entzündungszellen. Daneben ein intralobuläres Entzündungsinfiltrat mit gleicher Zusammensetzung wie das portale Infiltrat.
Zusatzbefund
Fibrose der Portalfelder mit portoportaler Septenbildung.
Klinik
Intravenöser Drogenabusus vor 10 Jahren. Damals Infektion mit dem Hepatitis C Virus.
Kommentar
Für die Ermittlung des Schweregrades der Entzündungsaktivität bei chronischer viraler Hepatitis wird die portale, die periportale und die intralobuläre Entzündung beurteilt sowie das Vorliegen von Apoptosen und Parenchymnekrosen. Es existieren verschiedene unterschiedlich komplexe Gradierungsschemata, welche je nach Präferenz der zuweisenden Gastroenterologen zur Anwendung kommen.
Bilder Typ
Histologie
Vergrösserung
200
Alter
36
Geschlecht
männlich
Datum
Ersteintrag: 12.06.2002