Wichtiger Sicherheitshinweis: Pathorama wurde zwischen dem 26. und 27. Dezember 2025 angegriffen. Falls Sie die Website in diesem Zeitraum besucht haben, lesen Sie bitte die wichtigen Informationen hier:
Zur Information

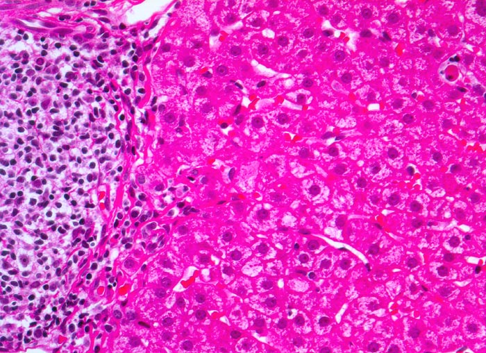
PathoPic – image database / PathoPic ID 4962 - chronische Hepatitis C mit geringgradiger Aktivität

de
Diagnose
chronische Hepatitis C mit geringgradiger Aktivität
Diagnose Gruppe
Entzündung infektiös
Topographie
Leber
Topographie Gruppe
Leber, Gallenwege, Pankreas
Beschreibung
Links im Bild Portalfeld mit starker Vermehrung von mononukleären Zellen. Das Infiltrat greift stellenweise auf das angrenzende Parenchym über (=periportale Hepatitis oder Interface Hepatitis). Das Parenchym ist weitgehend Entzündungsfrei. Es ist eine einzelne Apoptose erkennbar (=Councilman Körperchen oder Einzelzellnekrose).
Zusatzbefund
Fibrose der Portalfelder mit portoportaler Septenbildung.
Klinik
Intravenöser Drogenabusus vor 10 Jahren. Damals Infektion mit dem Hepatitis C Virus.
Kommentar
Das Übergreifen der Entzündung von den Portalfeldern auf das angrenzende Parenchym wurde früher als Piece Meal Nekrose bezeichnet und heute als Interface Hepatitis oder periportale Hepatitis.
Bilder Typ
Histologie
Vergrösserung
200
Alter
36
Geschlecht
männlich
Datum
Ersteintrag: 12.06.2002