Wichtiger Sicherheitshinweis: Pathorama wurde zwischen dem 26. und 27. Dezember 2025 angegriffen. Falls Sie die Website in diesem Zeitraum besucht haben, lesen Sie bitte die wichtigen Informationen hier:
Zur Information

Staats/ Seröses Adenokarzinom des Ovars

Diagnose
Seröses Adenokarzinom des Ovars
Diagnose Gruppe
maligner Tumor
Differenzialdiagnose
  • - Klarzelliges Karzinom- Endometrioides Karzinom- Muzinöses Karzinom
Topographie Gruppe
Mamma
Topographie
Ovar
Einleitung
Histogenese:
Benigne und maligne Ovarialtumoren teilt man in epitheliale Tumoren (65-70%), Keimstrang-Stromatumoren (5-10%) und Keimzelltumoren (15-20%) ein. Das seröse Adenokarzinom gehört zur erstgenannten Kategorie und ist der häufigste histologische Subtyp der malignen Ovarialtumoren. Das high-grade seröse Karzinome entsteht nach neusten Erkenntnissen am Fimbrienende des Eileiters (tubares intraepitheliales Karzinom) oder aus drüsigen Epitheleinschlüssen, die ebenfalls vom Eileiter stammen. Das Fimbrienende der Tube ist auch der Ausgangspunkt der serösen Peritonealkarzinome. Entsprechend sind die serösen Ovarialkarzinome in der Mehrheit eigentlich Tubenkarzinome. Diese Erkenntnis ist aber noch nicht in die TNM-Klassifikation der Tuben- respektive Ovarialkarzinome eingeflossen. Alle in der Tube und im Ovar auftretenden serösen Tumoren können seltener auch im Endometrium vorkommen (> 592). Seltenere Subformen der epithelialen Ovarialkarzinome wie das endometrioide und das klarzellige Karzinom entstehen aus einer Endometriose des Ovars. Die TNM Klassifikation und die FIGO Stadieneinteilung gelten für Ovarialtumoren des Epithels und des Stromas sowie für Borderlinetumoren des Ovars.

Molekulare Pathogenese:
Man unterscheidet low- und high-grade Karzinome des Ovars. Low grade Neoplasien (Typ I Tumoren) entstehen aus sogenannten papillären Hyperplasien der Tubenschleimhaut und entwickeln sich über klar definierte Vorstufen und wenigen, für den histologischen Typ charakteristischen genetischen Veränderungen. High-grade seröse Karzinome (Typ II Tumoren) sind schnell progredient und werden meist erst im fortgeschrittenen Stadium entdeckt. Diese Tumoren zeigen eine ausgeprägte genetische Instabilität mit häufigen Mutationen des Tumorsupressorgens TP53 (80%) sowie sehr zahlreiche chromosomale Anomalien.
Low grade seröse Karzinome sind in 3/4 der Fälle assoziiert mit einer nichtinvasiven Tumorkomponente (atypisch proliferierender seröser Tumor und nicht invasives seröses low-grade Karzinom (auch Borderlinetumoren genannt)). Diese Vorstufen zeigen eine enge morphologische und molekulare Verwandtschaft mit den low-grade serösen Karzinomen. K-RAS, BRAF oder ERBB2 zeigen aktivierende Mutationen in etwa zwei Dritteln aller serösen Borderlinetumoren und low-grade Karzinome.

Morphologie:
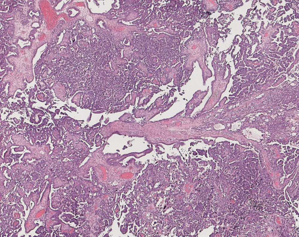
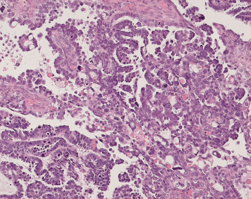
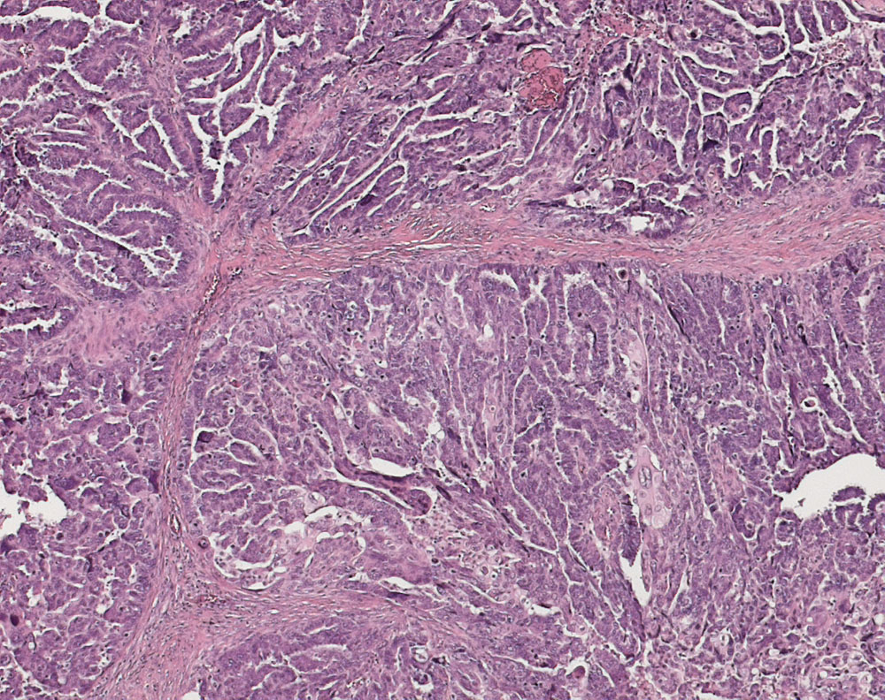
Makroskopisch können seröse Karzinome überwiegend zystisch-papillär, ausschliesslich solid oder exophytisch imponieren. In zwei Drittel der Fälle sind beide Ovarien betroffen. Im Gegensatz zum Borderlinetumor zeigt das invasive seröse Karzinom eine destruktive Stromainvasion (> 4479). Lamellär geschichtete Verkalkungen (Psammomkörperchen (> 3659)) lassen sich in variabler Anzahl in serös papillären Tumoren nachweisen.
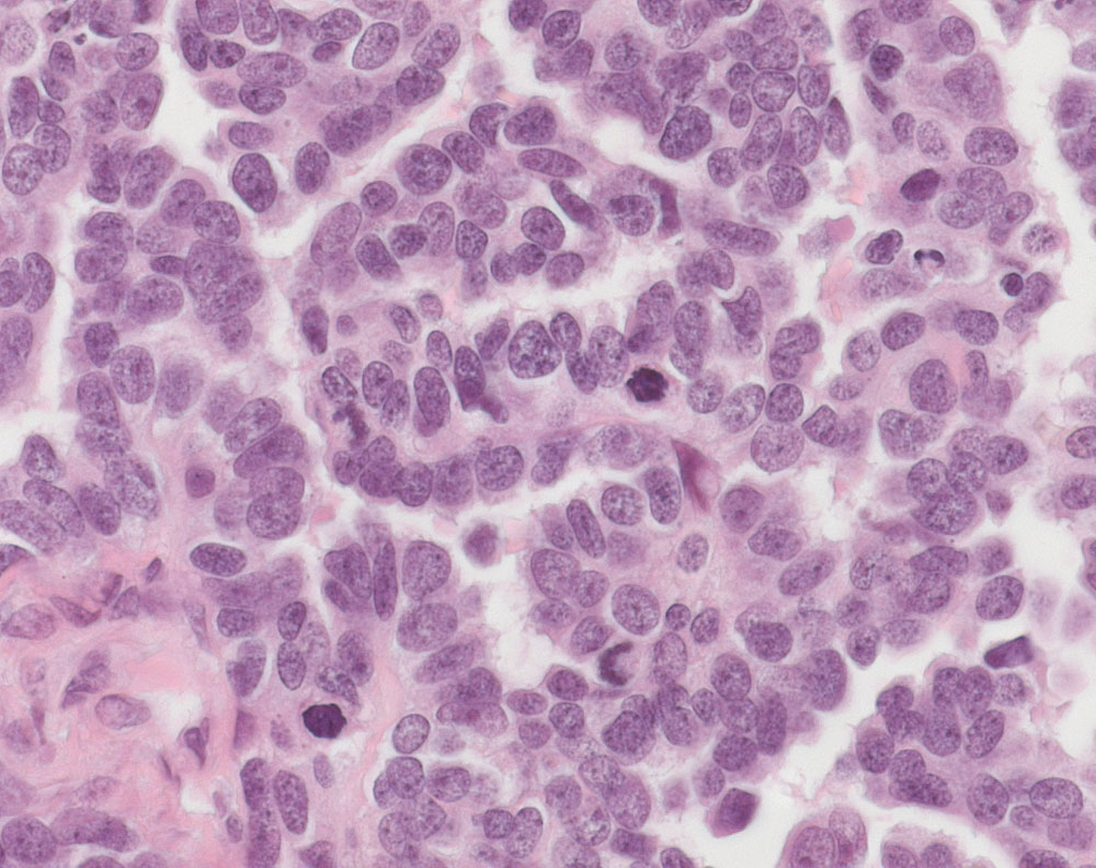
Histologisch sind high grade seröse Karzinome charakterisiert durch solide Tumorareale, komplexe, verzweigte Papillen und Drüsen, welche enge schlitzförmige Lumina (> 10936) bilden. Die Zellkerne der high grade Karzinome sind pleomorph, deutlich vergrössert und hyperchromatisch.

Grading von serösen Karzinomen:
High grade seröse Karzinome sind charakterisiert durch deutliche Kerngrössenschwankungen (>3:1), ausgeprägte Kernatypien und zahlreiche Mitosen (>12/10 HPF).

update 30. August 2012
Klinik
Vorkommen:
Die Inzidenz der Ovarialkarzinome insgesamt beträgt in der Schweiz 16:100'000 pro Jahr. Die serösen Tumoren machen etwa 30% aller Ovarialtumoren aus, wobei 60% dieser Tumoren gutartig (> 3672) (> 3665), 10% vom Borderline Typ (> 4137) und 30% maligne sind. Benigne seröse Tumoren treten in jedem Alter auf. Seröse Borderlinetumoren und Karzinome sind selten vor dem 20. Altersjahr. Das Durchschnittsalter für Borderlinetumoren beträgt 46 Jahre, für seröse Karzinome 56 Jahre.

Diagnostik:
Die Dignität von jedem palpatorisch festgestellten Ovarialtumor sollte in jedem Lebensalter möglichst bald abgeklärt werden.

Therapie:
Die Basis der Behandlung stellt die Operation dar. Nach Eröffnung der Bauchhöhle werden für das Staging Aszites bzw. Abdomenspülflüssigkeit für die zytologische Untersuchung entnommen. Bei zweifelhafter Dignität kann eine intraoperative Schnellschnittuntersuchung durchgeführt werden. Handelt es sich um ein Karzinom, wird eine Hysterektomie und Exstirpation der kontralateralen Adnexe durchgeführt. Zusätzlich werden das grosse Netz, die Appendix vermiformis, pelvine und paraaortale Lymphknoten entfernt. Für ein korrektes Staging werden multiple peritoneale Biopsien entnommen. Bei verbleibendem Tumor bzw. adjuvant ab Stadium FIGO IC, bei allen wenig differenzierten Tumoren und bei allen klarzelligen Karzinomen wird eine adjuvante Polychemotherapie mit einer Cis-Platin-Taxol-Kombination angeschlossen.

update 30. August 2012
Normalbefund
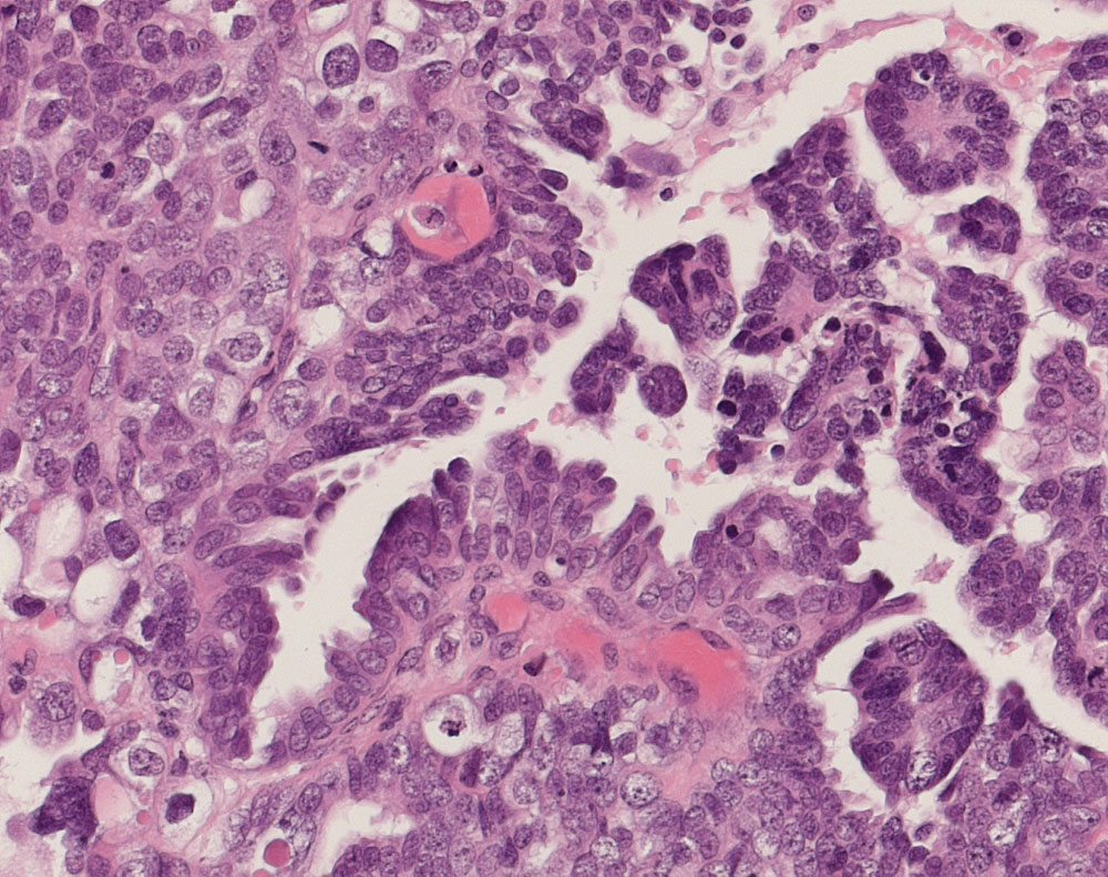
Morphologie
Morphologische Merkmale:
  • Rechts sind Restanteile tumorfreier Ovarialrinde mit Corpora albicantia erkennbar.
  • Tumorgewebe findet sich auch an der Oberfläche des Ovars.
  • Das Tumorgewebe bildet komplex verzweigte Papillen mit fibrovaskulären Stromastielen.
  • Mehrreihiges Epithel kleidet die Papillen aus und bildet in den soliden Tumorarealen charakteristische schlitzförmige Spalträume.
  • Neoplastische Zellen mit starken Kerngrössenschwankungen, hoher Kern-Plasmarelation, Hyperchromasie der Zellkerne und prominenten Nukleolen. Einzelne bizarre, stark vergrösserte und hyperchromatische Tumorzellkerne.
  • Zahlreiche Mitosen.
  • Konzentrische Verkalkungen (Psammomkörperchen) sind in diesem Präparat nicht erkennbar.
Das sollte der Kliniker dem Pathologen mitteilen:
  • Intraoperativer Befund.
  • Tumorbedingter Kapseldurchbruch oder operationsbedingte Kapseleinrisse.
Praxis-Tipp:
  • Ovarialtumoren unfixiert einsenden. (Zystenflüssigkeit kann zytologisch untersucht werden).
update 30. August 2012
Makroskopie
Befund
Pathologischer Befund
Normalbefund
Datum
Ersteintrag: 10.07.2019
Update: 10.07.2019