Wichtiger Sicherheitshinweis:
Pathorama wurde zwischen dem
26. und 27. Dezember 2025
angegriffen. Falls Sie die Website in diesem Zeitraum besucht haben, lesen Sie bitte die wichtigen Informationen hier:
Zur Information
Pathopic
HiPaKu
ZyPaKu
Projektinfos
PathoPic - Projekt- und Copyright-Info
About
Pathopic
HiPaKu
ZyPaKu
PathoPic – image database
/
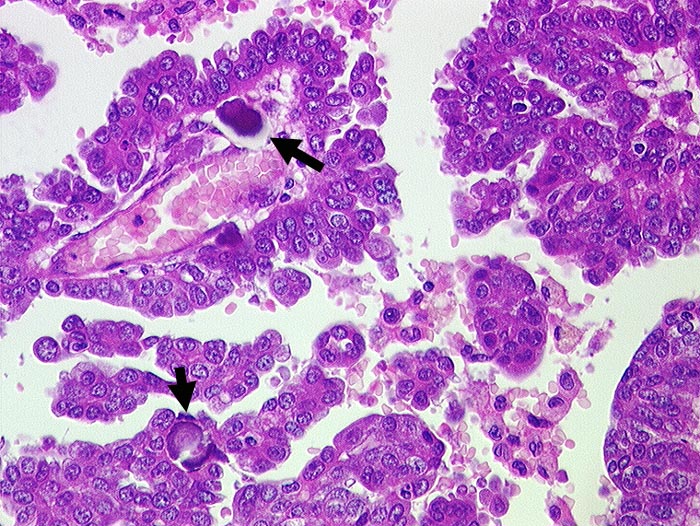
PathoPic ID 592 - Primär peritoneales serös papilläres Karzinom
de
Diagnose
Primär peritoneales serös papilläres Karzinom
Diagnose Gruppe
maligner Tumor
Topographie
Peritoneum
Topographie Gruppe
Körperhöhlen, Serosa
Beschreibung
Papillärer Tumor mit
►
Psammomkörperchen.
Zusatzbefund
Ausgedehnter peritonealer Tumorbefall. Ovarien klein und lediglich oberflächlich tumorbefallen.
Klinik
Subileus.
Kommentar
Definition des primären serösen Karzinoms des Peritoneums siehe AFIP Tumors of the ovary...
S. 451ff
Bilder Typ
Histologie
Alter
53
Geschlecht
unbekannt
Datum
Ersteintrag: 14.11.2001
CPS
·
©
2025 Institut für Pathologie Basel
/
Dr. med. Katharina Glatz-Krieger
.
·
v2.2