Wichtiger Sicherheitshinweis: Pathorama wurde zwischen dem 26. und 27. Dezember 2025 angegriffen. Falls Sie die Website in diesem Zeitraum besucht haben, lesen Sie bitte die wichtigen Informationen hier:
Zur Information

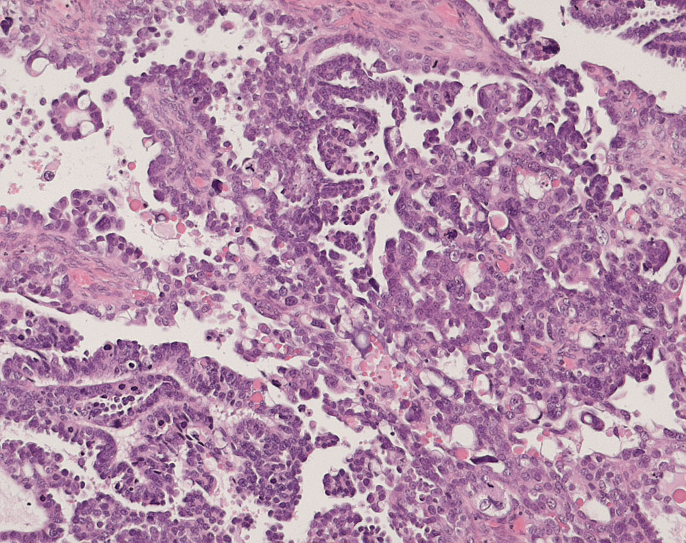
PathoPic – image database / PathoPic ID 10934 - seröses Ovarialkarzinom high grade

de
Diagnose
seröses Ovarialkarzinom high grade
Diagnose Gruppe
maligner Tumor
Topographie
Ovar
Topographie Gruppe
Genitalorgane, weiblich
Beschreibung
Papillärer Tumor bestehend aus stark atypischen und vereinzelt bizarren pleomorphen Tumorzellen mit starken Kerngrössenschwankungen. Mehrere, teils atypische Mitosen und Apoptosen.
Klinik
Verdacht auf Ovarialkarzinom (CA125 > 2000u/l). CT: Vergrösserte Ovarian beidseits. Maligner Pleuraerguss Adenokarzinom.
Kommentar
-
Bilder Typ
Histologie
Vergrösserung
100
Alter
58
Geschlecht
unbekannt
Datum
Ersteintrag: 10.11.2011
Update: 22.05.2013