Wichtiger Sicherheitshinweis: Pathorama wurde zwischen dem 26. und 27. Dezember 2025 angegriffen. Falls Sie die Website in diesem Zeitraum besucht haben, lesen Sie bitte die wichtigen Informationen hier:
Zur Information

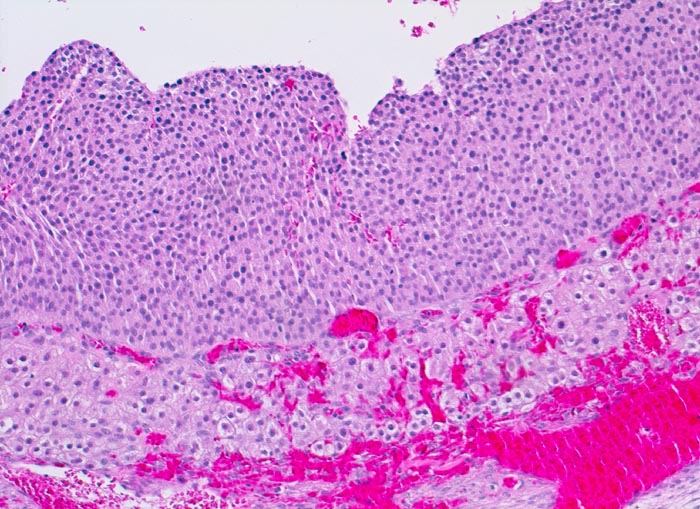
PathoPic – image database / PathoPic ID 4390 - Rupturierter Follikel

de
Diagnose
Rupturierter Follikel
Diagnose Gruppe
Normalbefund
Topographie
Ovar
Topographie Gruppe
Genitalorgane, weiblich
Beschreibung
Zum Follikellumen hin eine breite Schicht von kleinen Granulosazellen. Gegen aussen folgt die stark vaskularisierte Theca interna mit grösseren luteinisierten Zellen.
Bilder Typ
Histologie
Vergrösserung
100
Alter
44
Geschlecht
unbekannt
Datum
Ersteintrag: 15.04.2002
Update: 10.08.2010