Wichtiger Sicherheitshinweis: Pathorama wurde zwischen dem 26. und 27. Dezember 2025 angegriffen. Falls Sie die Website in diesem Zeitraum besucht haben, lesen Sie bitte die wichtigen Informationen hier:
Zur Information

Staats/ Seminom des Hodens

Diagnose
Seminom des Hodens
Diagnose Gruppe
maligner Tumor
Topographie Gruppe
Mamma
Topographie
Hoden
Einleitung
Einteilung:
95% der Hodentumoren sind Keimzelltumoren. Bei den übrigen 5% handelt es sich um Keimstrang- und Stromatumoren, neuroendokrine Tumoren, hämatologische Neoplasien oder Metastasen. Bei den Keimzelltumoren des Hodens unterscheidet man Seminome (40%), embryonale Karzinome (25%), Teratokarzinome (25%), Teratome (5%) und Chorionkarzinome (1%). Die Unterscheidung von Seminomen und nicht seminomatösen Keimzelltumoren (darunter fallen auch Seminome mit nicht seminomatösen Anteilen) ist entscheidend für Therapie und Prognose.

Morphologie:
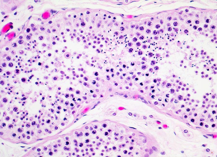
Makroskopisch imponieren Seminome als gut begrenzte weiche crèmefarbene Knoten oder diffuses Intiltrat. Mikroskopisch findet sich eine uniforme Population grosser Zellen mit prominentem zentralem Nukleolus, welche durch schmale Bindegewebssepten voneinander getrennte Nester bilden. Ein leukozytäres Entzündungsinfiltrat, synzytiotrophoblastäre Riesenzellen und Mikroverkalkungen können zusätzlich vorhanden sein. Gelegentlich induziert der Tumor eine ausgeprägte granulomatöse Entzündung. Dies kann zur Fehldiganose einer granulomatösen Orchitis führen.
Die Keimzellneoplasie in situ (atypische Keimzellen in Hodentubuli) ist die nicht invasive Vorläuferläsion fast aller Keimzelltumoren beim Erwachsenen (Keimzelltumoren Typ II). Diese kann fast immer in der Nachbarschaft eines invasiven Tumors nachgewiesen werden. Spezifische fortgeschrittenere Formen der Keimzellneoplasie in situ sind das intratubuläre Seminom und das intratubuläre Nicht-Seminom.

Verlauf:
Seminome entstehen aus einer Keimzellneoplasie in situ bzw. einem intratubulären Seminom mit sekundärer Invasion des Stromas (> 3082). Bei 75% der Patienten ist das Seminom bei Diagnosestellung lokalisiert. 15% haben aber bereits Metastasen in regionären retroperitonealen Lymphknoten oder viszerale Metastasen. In Einzelfällen ist der Primärtumor im Hoden trotz ausgedehnter Metastasierung nicht palpabel. Histologisch findet sich wenig oder gar kein Tumorgewebe und eine fibröse Narbe (sogenannter “ausgebrannter Hodentumor”) (> 3090).

update 20. August 2017
Klinik
Vorkommen:
In der Schweiz erkranken jedes Jahr etwa 300 Männer an Hodenkrebs. Die Patienten mit Seminomen sind typischerweise zwischen 30-49 Jahre alt. Seminome sind selten bei Männern >70 Jahre.

Risikofaktoren:
Patienten mit einem Kryptorchismus in der Anamnese haben ein 10 bis 40 faches Risiko für die Entwicklung eines Hodentumors. 10% der Patienten mit Hodentumoren hatten einen Kryptorchismus. Weitere Risikofaktoren sind Down oder Klienefelter Syndrom, HIV Infektion, Atrophie, Infertilität, gonadale Dysgenesie, chemische Karzinogene, Orchitis, Keimzelltumor oder intratubuläre Keimzellneoplasie im kontralateralen Hoden und positive persönliche oder Familienanamnese für Hodentumor.

Symptomatik:
Die Patienten suchen den Arzt wegen eines schmerzlosen Knotens im Hoden auf. Selten klagen die Patienten über Schmerzen im Bereich des Hodentumors oder im Rücken bei Lymphknotenmetastasen. Seltener liegt eine Hydrozele, Varikozele, Spermatozele oder ein Hämatom vor. Verzögerungen in der Diagnose sind häufig, weil der Patient den Knoten nicht bemerkt oder den Arzt nicht darauf hinweist bzw. wegen Fehldiagnose als Epididymoorchitis oder Trauma.

Diagnostik:
Sonographisch können Hodenläsionen ab 1 bis 2mm Durchmesser erfasst werden. Ein erhöhtes AFP im Serum (sezerniert von Dottersacktumoren) schliesst ein reines Seminom aus, auch wenn im Hoden ausschliesslich Seminomanteile nachweisbar sind. Bei 5-10% der Patienten mit einem Seminom ist das beta HCG erhöht, welches von syncytiotrophoblastären Zellen im Tumor sezerniert wird. Die Bestimmung der Tumormarker ist wichtig für Diagnose, Prognose, Therapieüberwachung und Nachsorge.

Therapie:
Nach der hohen inguinalen Semikastration folgt in weniger fortgeschrittenen Stadien eine externe Bestrahlung der retroperitonealen Lymphabflussgebiete. Bei Patienten mit ausgedehnten Metastasen wird anstelle der Radiotherapie eine Chemotherapie und anschliessende Extirpation des Residualtumors durchgeführt. Sowohl Seminome als auch nichtseminomatöse Tumoren sind hochgradig chemotherapiesensibel. Auch in fortgeschrittensten Tumorstadien besteht prinzipiell die Chance auf Heilung. Nur 50% der Patienten haben präoperativ eine Spermaqualität, die eine Kryokonservierung sinnvoll erscheinen läßt. Rezidive treten in über einem Drittel mehr als drei Jahre nach Ende der Ersttherapie auf. Die Nachsorge muss entsprechend lange erfolgen.

Prognose:
Die Prognose ist exzellent aber stadienabhängig. Bei Seminomen kann bei stadiengerechter konsequenter Behandlung im Stadium I eine nahezu 100%ige Heilungrate, bei Fernmetastasierung eine Heilung bei bis zu 85% der Patienten erreicht werden.

update 20. August 2017
Normalbefund
Morphologie
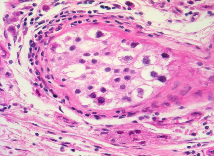
Morphologische Merkmale:
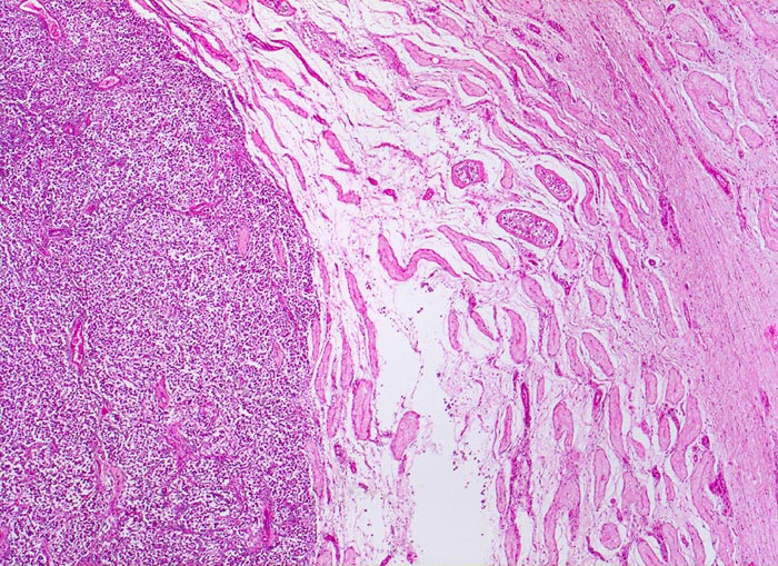
  • Scharf begrenzter Tumorknoten mit eosinophilen Nekrosearealen.
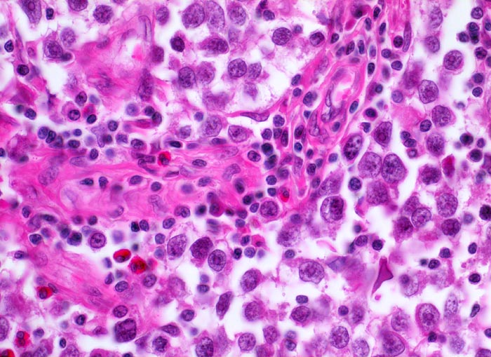
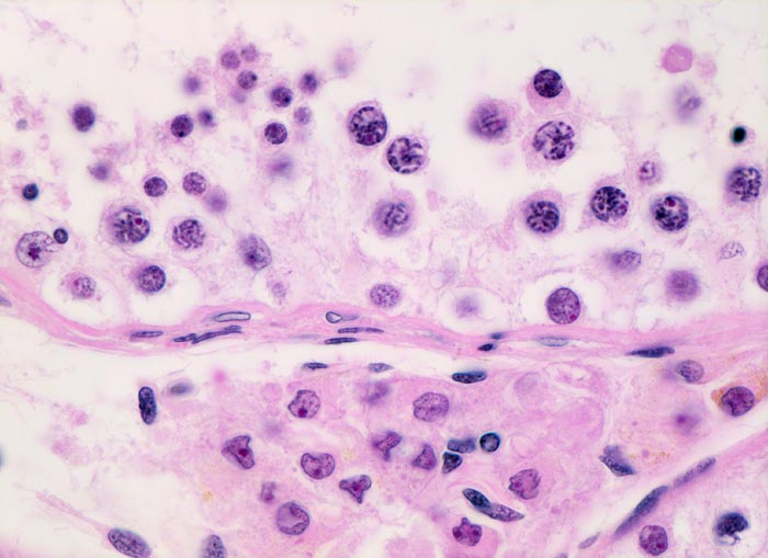
  • Unterschiedlich breite solide Tumorzellstränge aus monomorphen Zellen mit grossen hyperchromatischen Kernen und einem solitären zentralen prominenten Nukleolus. Reichlich helles Zytoplasma mit scharfen Zellgrenzen.
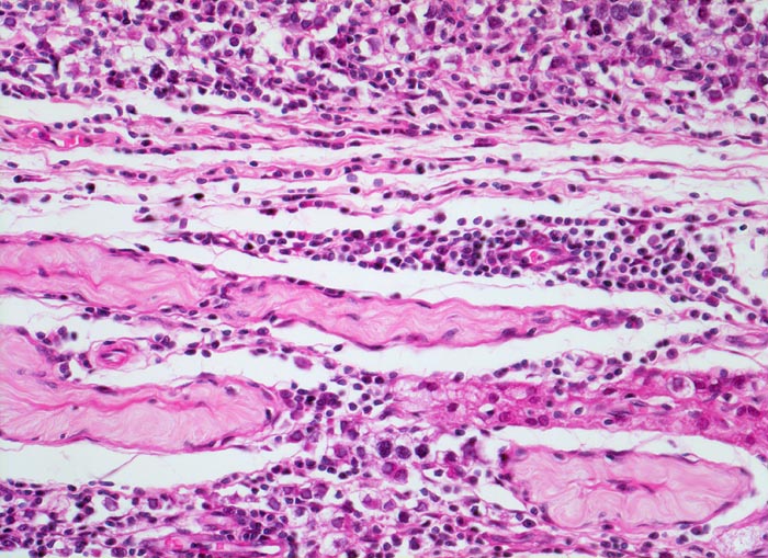
  • Schmale bindegewebige Septen mit Kapillaren und lymphoplasmazellulärem Entzündungsinfiltrat.
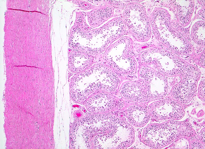
  • Tubuläre Atrophie des angrenzenden Hodenparenchyms. Einige Hodentubuli enthalten stark atypische pleomorphe Keimzellen (Keimzellneoplasie in situ).
Das sollte der Kliniker dem Pathologen mitteilen:
  • Serumwerte von beta HCG und alpha Fetoprotein.
  • Neoadjuvante Therapie.
Praxis-Tipp:
  • Tumor nicht einschneiden (Beurteilung wird erschwert).
  • Gewebe möglichst rasch und vorzugsweise frisch einsenden.


update 20. August 2017
Befund
Pathologischer Befund
Normalbefund
Literatur
Datum
Ersteintrag: 10.07.2019
Update: 10.07.2019