Wichtiger Sicherheitshinweis: Pathorama wurde zwischen dem 26. und 27. Dezember 2025 angegriffen. Falls Sie die Website in diesem Zeitraum besucht haben, lesen Sie bitte die wichtigen Informationen hier:
Zur Information

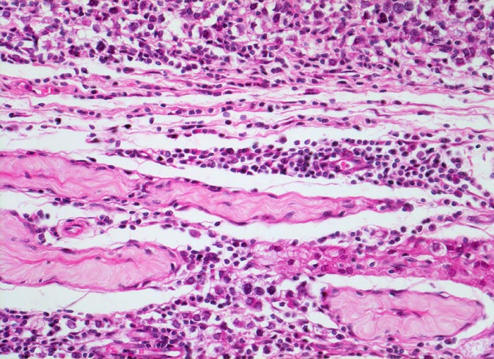
PathoPic – image database / PathoPic ID 4679 - Seminom des Hodens

de
Diagnose
Seminom des Hodens
Diagnose Gruppe
maligner Tumor
Topographie
Hoden
Topographie Gruppe
Genitalorgane, männlich
Beschreibung
Aufnahme aus dem Tumorrandbereich. Zwischen den vollständig atrophen zellfreien Hodentubuli findet sich ein mononukleäres Entzündungsinfiltrat. Die Entzündungszellen maskieren die deutlich grösseren Tumorzellen.
Zusatzbefund
Makroskopisch aus mehreren Knoten bestehender weisser Tumor von 2cm Durchmesser.
Klinik
Der Patient suchte den Arzt wegen einer schmerzlosen Hodenvergrösserung auf.
Bilder Typ
Histologie
Vergrösserung
200
Alter
36
Geschlecht
männlich
Datum
Ersteintrag: 06.05.2002
Update: 30.07.2010