Wichtiger Sicherheitshinweis: Pathorama wurde zwischen dem 26. und 27. Dezember 2025 angegriffen. Falls Sie die Website in diesem Zeitraum besucht haben, lesen Sie bitte die wichtigen Informationen hier:
Zur Information

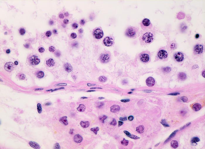
PathoPic – image database / PathoPic ID 3319 - Spermiogenese, Leydigzellen

de
Diagnose
Spermiogenese, Leydigzellen
Diagnose Gruppe
Normalbefund
Topographie
Hoden
Topographie Gruppe
Genitalorgane, männlich
Beschreibung
Oben im Bild ein Tubulus mit normaler Spermiogenese. Unten im Bild eine Gruppe von Leydig Zellen im Interstitium. Die Leydig Zellen sind erkennbar an ihrem reichlich vorhandenen eosinophilen Zytoplasma und den gelbbraunen Einlagerungen von Lipofuszinpigment .
Zusatzbefund
Klassisches Seminom
Bilder Typ
Histologie
Vergrösserung
500
Alter
43
Geschlecht
männlich
Datum
Ersteintrag: 12.11.2001
Update: 30.07.2010