Wichtiger Sicherheitshinweis: Pathorama wurde zwischen dem 26. und 27. Dezember 2025 angegriffen. Falls Sie die Website in diesem Zeitraum besucht haben, lesen Sie bitte die wichtigen Informationen hier:
Zur Information

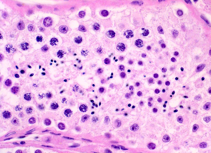
PathoPic – image database / PathoPic ID 3302 - Spermiogenese

de
Diagnose
Spermiogenese
Diagnose Gruppe
Normalbefund
Topographie
Hoden
Topographie Gruppe
Genitalorgane, männlich
Beschreibung
Normal ausreifende Spermiogenese. Spermatogonien. Primäre Spermatozyten im Präleptotän. Primäre Spermatozyten im Zygotän/Pachytän. Spermatiden. Unreife Spermatozoen. Sertolizellen sind lichtmikroskopisch nicht sicher abgrenzbar.
Zusatzbefund
Klassisches Seminom
Bilder Typ
Histologie
Vergrösserung
400
Alter
43
Geschlecht
männlich
Datum
Ersteintrag: 16.12.2001
Update: 30.07.2010